Images and videos
Images

Assessment of cardiomyopathy
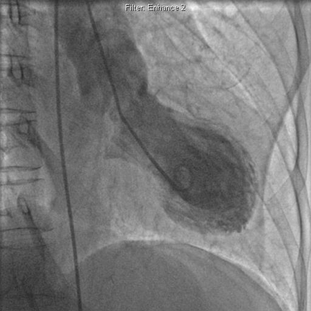
Left ventriculogram demonstrating apical ballooning in tako-tsubo cardiomyopathy
Augustine DX, Domanski A, Garg A. The stress of chest pain: a case of tako-tsubo cardiomyopathy. BMJ Case Reports. 2009; doi:10.1136/bcr.03.2009.1660
See this image in context in the following section/s:

Assessment of cardiomyopathy
Diseases that may cause cardiomyopathy
Elliott P, et al. Eur Heart J 2008; 29: 270-76; used with permission
See this image in context in the following section/s:

Assessment of cardiomyopathy
Proposed classification system
Elliott P, Andersson B, Arbustini E, et al. Classification of the cardiomyopathies: a position statement from the European Society of Cardiology Working Group on Myocardial and Pericardial Diseases. Eur Heart J. 2008;29:270-276. Used with permission.
See this image in context in the following section/s:

Assessment of cardiomyopathy
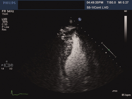
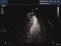
Apical hypertrophic cardiomyopathy: 4-chamber echocardiographic view with contrast
Ahmed I, Smalley SJ, Zhu DWX, et al. Sudden cardiac arrest in apical hypertrophic cardiomyopathy. BMJ Case Reports. 2009;doi:10.1136/bcr.04.2009.17
See this image in context in the following section/s:

Assessment of cardiomyopathy
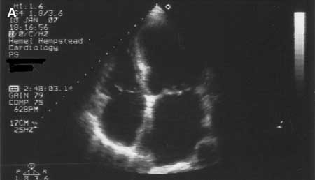
Dilated cardiomyopathy: echocardiogram
Tanejal AK, Wong J, Bayliss J. Antipsychotic-drug-induced dilated cardiomyopathy. BMJ Case Reports. 2009; doi:10.1136/bcr.09.2008.0958
See this image in context in the following section/s:
Videos
- Third heart sound gallop
Auscultation sounds: Third heart sound gallop
- Fourth heart sound gallop
Auscultation sounds: Fourth heart sound gallop
Use of this content is subject to our disclaimer