Images and videos
Images

Common cutaneous drug reactions
Oral and mucosal ulcerations, carbamazepine induced Stevens-Johnson syndrome
Khoo AB, Ali FR, Yiu ZZ, et al. Carbamazepine induced Stevens-Johnson syndrome. BMJ Case Rep. 2016;2016. pii: bcr2016214926. Used with permission
See this image in context in the following section/s:

Common cutaneous drug reactions
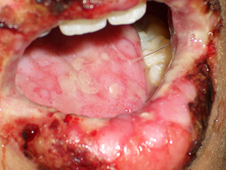
A 17-year-old male patient diagnosed with Stevens-Johnson syndrome due to azitromicine. Erosions and crusts on the lips with diffuse ulcers on the tongue
Ferrandiz-Pulido C, Garcia-Patos V. A review of causes of Stevens-Johnson syndrome and toxic epidermal necrolysis in children. Arch Dis Child. 2013;98:998-1003. Used with permission
See this image in context in the following section/s:

Common cutaneous drug reactions
A 5-year-old female patient with toxic epidermal necrolysis with three suspected drugs (penicillin, ibuprofen, and paracetamol)
Ferrandiz-Pulido C, Garcia-Patos V. A review of causes of Stevens-Johnson syndrome and toxic epidermal necrolysis in children. Arch Dis Child. 2013;98:998-1003. Used with permission
See this image in context in the following section/s:

Common cutaneous drug reactions
Palmar target lesions in erythema multiforme
From the personal collection of Nanette Silverberg, MD, FAAD, FAAP
See this image in context in the following section/s:

Common cutaneous drug reactions
Stevens-Johnson syndrome: epidermal loss on soles of feet
From the personal collection of Areta Kowal-Vern, MD
See this image in context in the following section/s:

Common cutaneous drug reactions
Drug exanthem due to phenytoin
Photography courtesy of Brian L. Swick
See this image in context in the following section/s:

Common cutaneous drug reactions
Typical lesions seen in acute or chronic urticaria
From the personal collection of Stephen Dreskin, MD, PhD
See this image in context in the following section/s:

Common cutaneous drug reactions
The Naranjo scoring system
Naranjo CA, Busto U, Sellers EM, et al. A method for estimating the probability of adverse drug reactions. Clin Pharmacol Ther. 1981;30:239-245
See this image in context in the following section/s:

Common cutaneous drug reactions
Initial phase of toxic epidermal necrolysis with diffuse erythema and vesicles that will evolve to full epidermal necrosis
Ferrandiz-Pulido C, Garcia-Patos V. A review of causes of Stevens-Johnson syndrome and toxic epidermal necrolysis in children. Arch Dis Child. 2013;98:998-1003. Used with permission
See this image in context in the following section/s:

Common cutaneous drug reactions
Blistering targetoid lesions on the trunk, carbamazepine induced Stevens-Johnson syndrome
Khoo AB, Ali FR, Yiu ZZ, et al. Carbamazepine induced Stevens-Johnson syndrome. BMJ Case Rep. 2016;2016. pii: bcr2016214926. Used with permission
See this image in context in the following section/s:

Common cutaneous drug reactions
Angio-oedema of the lips in a patient who also has urticaria
From the personal collection of Stephen Dreskin, MD, PhD
See this image in context in the following section/s:
Use of this content is subject to our disclaimer