Images and videos
Images

Primary biliary cholangitis
Characteristic autoantibody patterns in primary biliary cholangitis. White arrow: antimitochondrial staining; red arrow: multiple nuclear dot ANA staining
From the collection of DEJ Jones; used with permission.
See this image in context in the following section/s:

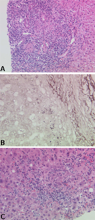
Primary biliary cholangitis
Characteristic histological appearances of primary biliary cholangitis: (a) early-stage disease; (b) advanced-stage disease; (c) disease with a significant inflammatory component
From the collection of Professor Alastair Burt, Newcastle University; used with permission
See this image in context in the following section/s:
Use of this content is subject to our disclaimer