Images and videos
Images

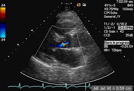
Aortic regurgitation
Parasternal long-axis view demonstrating aortic regurgitation jet width and height
From the collections of Dr Sanjeev Wasson and Dr Nishant Kalra; used with permission
See this image in context in the following section/s:

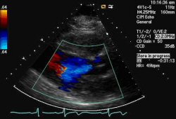
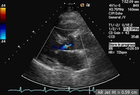
Aortic regurgitation
Parasternal long-axis view demonstrating aortic regurgitation jet
From the collections of Dr Sanjeev Wasson and Dr Nishant Kalra; used with permission
See this image in context in the following section/s:

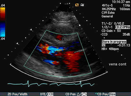
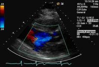
Aortic regurgitation
Parasternal long-axis view showing vena contracta of the aortic regurgitation jet
From the collections of Dr Sanjeev Wasson and Dr Nishant Kalra; used with permission
See this image in context in the following section/s:

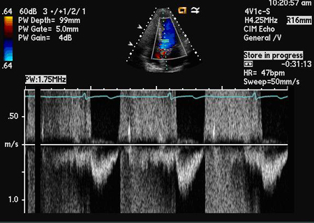
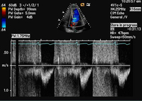
Aortic regurgitation
Pulsed wave Doppler of the regurgitant jet
From the collections of Dr Sanjeev Wasson and Dr Nishant Kalra; used with permission
See this image in context in the following section/s:

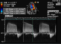
Aortic regurgitation
Continuous wave Doppler of the regurgitant jet demonstrating pressure half-time of the aortic regurgitant velocity
From the collections of Dr Sanjeev Wasson and Dr Nishant Kalra; used with permission
See this image in context in the following section/s:

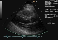
Aortic regurgitation
Parasternal long-axis view demonstrating left ventricular outflow tract diameter
From the collections of Dr Sanjeev Wasson and Dr Nishant Kalra; used with permission
See this image in context in the following section/s:

Aortic regurgitation
Stages of aortic regurgitation
J Am Coll Cardiol. 2021 Feb, 77 (4) e25–e197; used with permission
See this image in context in the following section/s:

Aortic regurgitation
Causes of AR
Dr Sanjeev Wasson and Dr Nishant Kalra; used with permission
See this image in context in the following section/s:
Videos
- Aortic regurgitation (severe)
Auscultation sounds: Aortic regurgitation (severe)
- Third heart sound gallop
Auscultation sounds: Third heart sound gallop
- Fourth heart sound gallop
Auscultation sounds: Fourth heart sound gallop
Use of this content is subject to our disclaimer