Images and videos
Images

Mitral regurgitation
Mitral valve P2 leaflet prolapse: 2D view
From the collection of Prakash P. Punjabi
See this image in context in the following section/s:

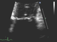
Mitral regurgitation
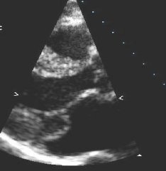
Parasternal long-axis view showing posterior mitral leaflet prolapse
From the collection of Samir Kapadia and Mehdi H. Shishehbor
See this image in context in the following section/s:

Mitral regurgitation
Apical 4-chamber view of 1-2+ posteriorly directed mitral regurgitation
From the collection of Samir Kapadia and Mehdi H. Shishehbor
See this image in context in the following section/s:

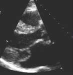
Mitral regurgitation
Apical 4-chamber view of flail posterior mitral leaflet
From the collection of Samir Kapadia and Mehdi H. Shishehbor
See this image in context in the following section/s:

Mitral regurgitation
Apical 3-chamber view of hypertrophic cardiomyopathy with systolic anterior motion
From the collection of Samir Kapadia and Mehdi H. Shishehbor
See this image in context in the following section/s:

Mitral regurgitation
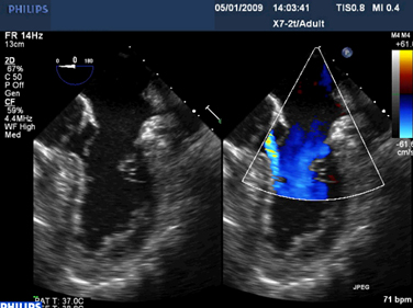
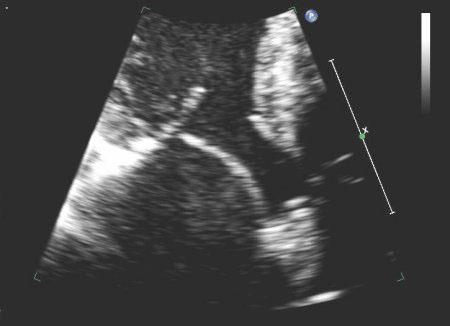
Prosthetic mitral valve with intermittent mitral regurgitation
From the collection of Prakash P. Punjabi
See this image in context in the following section/s:

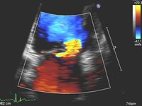
Mitral regurgitation
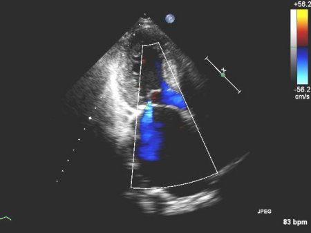
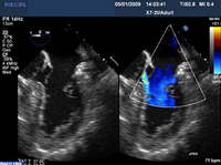
Apical 4-chamber view of 4+ (severe) mitral regurgitation and a large proximal isovelocity surface area
From the collection of Samir Kapadia and Mehdi H. Shishehbor
See this image in context in the following section/s:

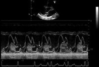
Mitral regurgitation
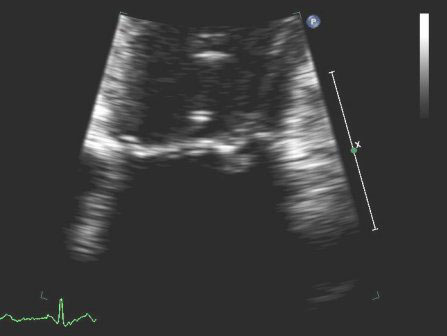
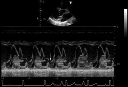
Posterior mitral valve prolapse on M-mode echo
From the collection of Samir Kapadia and Mehdi H. Shishehbor
See this image in context in the following section/s:

Mitral regurgitation
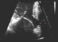
Prosthetic mitral valve with intermittent mitral regurgitation
From the collection of Prakash P. Punjabi
See this image in context in the following section/s:

Mitral regurgitation
Mitral valve P2 leaflet prolapse: 3D view
From the collection of Prakash P. Punjabi
See this image in context in the following section/s:

Mitral regurgitation
Apical 4-chamber view of severe MR with proximal isovelocity surface area
From the collection of Samir Kapadia and Mehdi H. Shishehbor
See this image in context in the following section/s:
Videos
- Mitral regurgitation (severe)
Auscultation sounds: Mitral regurgitation (severe)
- Third heart sound gallop
Auscultation sounds: Third heart sound gallop
Use of this content is subject to our disclaimer