Images and videos
Images

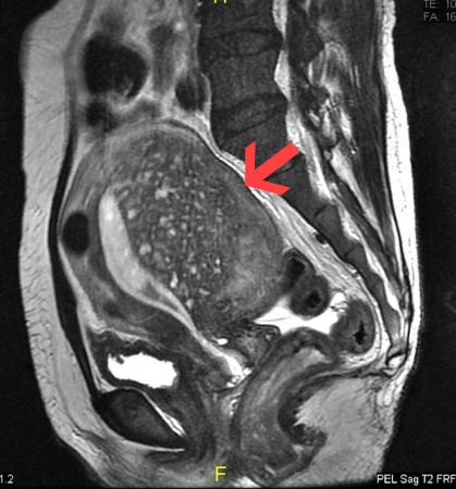
Adenomyosis
Sagittal MRI of a woman's pelvis showing a uterus with adenomyosis in the posterior wall. Gross enlargement of the posterior wall is noted, with many foci of hyperintensity
Case courtesy of Dr Varun Babu, Radiopaedia.org. From the case rID: 43504; reproduced under the Creative Commons CC BY-SA 4.0 license (https://creativecommons.org/licenses/by-sa/4.0/ )
See this image in context in the following section/s:
Use of this content is subject to our disclaimer