Images and videos
Images

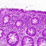
Microscopic colitis
Biopsy demonstrating lymphocytic colitis with intraepithelial lymphocytosis
Tome J et al. Microscopic Colitis: A Concise Review for Clinicians. Mayo Clin Proc. 2021 May;96(5):1302-8; used with permission
See this image in context in the following section/s:

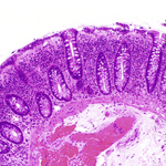
Microscopic colitis
Biopsy demonstrating collagenous colitis with a thickened subepithelial collagen band
Tome J et al. Microscopic Colitis: A Concise Review for Clinicians. Mayo Clin Proc. 2021 May;96(5):1302-8; used with permission
See this image in context in the following section/s:
Use of this content is subject to our disclaimer