Images and videos
Images

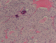
Thyroid cancer
Histopathology of papillary carcinoma, thyroid: a psammoma body is visible (arrow)
CDC Image Library/Dr Edwin P. Ewing, Jr
See this image in context in the following section/s:

Thyroid cancer
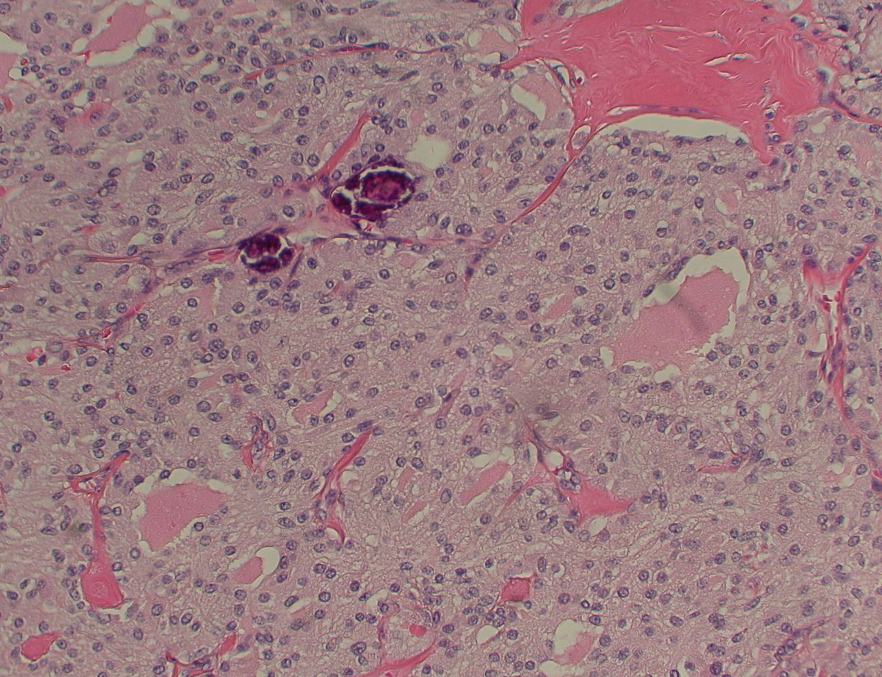
Medullary thyroid cancer: calcitonin stain
Mohan V et al. BMJ Case Reports CP 2019;12:e230446; used with permission
See this image in context in the following section/s:

Thyroid cancer
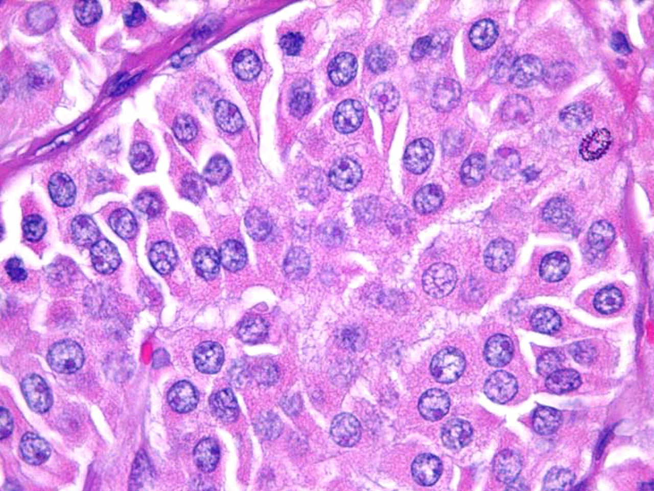
Medullary thyroid cancer: H&E stain showing nests of tumour cells
Mohan V et al. BMJ Case Reports CP 2019;12:e230446; used with permission
See this image in context in the following section/s:

Thyroid cancer
Oncocytic carcinoma (previously known as Hürthle cell carcinoma): presence of tumour cells within a vein, indicative of vascular invasion
Sandoval MAS et al. Case Reports 2011;2011:bcr1120103536; used with permission
See this image in context in the following section/s:

Thyroid cancer
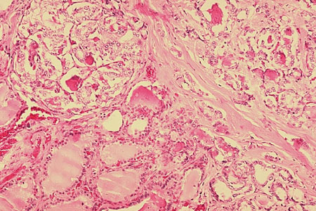
Histopathology of follicular carcinoma, thyroid
CDC Image Library/Dr Edwin P. Ewing, Jr
See this image in context in the following section/s:

Thyroid cancer
Skull x-ray showing extensive metastases from follicular thyroid carcinoma
Wani AM, Hussain WM, Fatani MI, et al. Skull metastases from thyroid carcinoma. BMJ Case Reports. 2009; doi:10.1136/bcr.02.2009.1578
See this image in context in the following section/s:

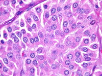
Thyroid cancer
Oncocytic cells (previously known as Hürthle cells) with abundant granular, eosinophilic cytoplasm and ‘cherry pink’ nucleoli
Sandoval MAS et al. Case Reports 2011;2011:bcr1120103536; used with permission
See this image in context in the following section/s:

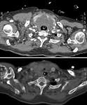
Thyroid cancer
CT of neck pre- and post-operative: tracheal compression by a thyroid lymphoma
Van la Parra RFD, Kroeze J, van Die J, et al. Progressive respiratory distress due to neck mass. BMJ Case Reports. 2009; doi:10.1136/bcr.11.2008.1193
See this image in context in the following section/s:

Thyroid cancer
Increased uptake of radioiodine in both pulmonary fields and the mediastinum due to miliary lung metastasis from papillary thyroid carcinoma
Gkountouvas A, Chatjimarkou F, Thomas D, et al. Miliary lung metastasis due to papillary thyroid carcinoma. BMJ Case Reports. 2009; doi:10.1136/bcr.06.2008.0322
See this image in context in the following section/s:
Use of this content is subject to our disclaimer