Images and videos
Images

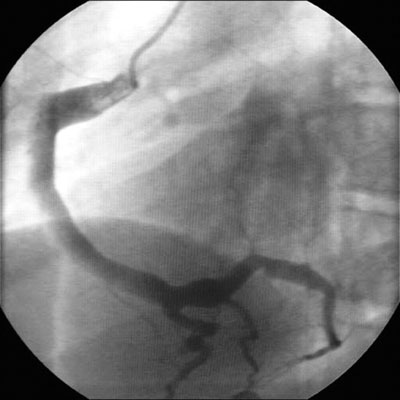
Kawasaki disease
Coronary artery ectasia
BMJ Case Reports 2009; doi:10.1136/bcr.10.2008.1113
See this image in context in the following section/s:

Kawasaki disease
SHARE recommendations for the management of suspected incomplete Kawasaki disease
de Graeff N, Groot N, Ozen S, et al. European consensus-based recommendations for the diagnosis and treatment of Kawasaki disease - the SHARE initiative. Rheumatology (Oxford). 2019;58(4):672-682.
See this image in context in the following section/s:
Use of this content is subject to our disclaimer