Images and videos
Images

Clostridioides difficile-associated disease
CT scan of the abdomen showing diffuse bowel thickening suggestive of colitis
From the collection of Dr Ali Hassoun
See this image in context in the following section/s:

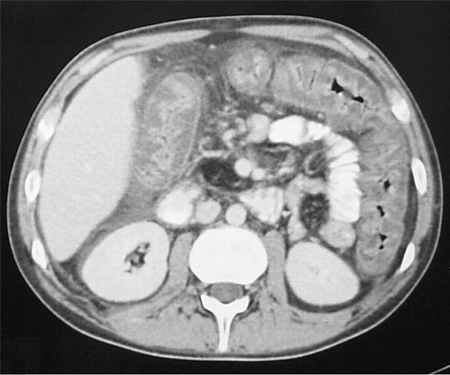
Clostridioides difficile-associated disease
CT scan of the abdomen showing gross thickening of the large bowel wall and obliteration of the lumen
Yates B, Murphy CM, et al. Pseudomembranous colitis in four patients with cystic fibrosis following lung transplantation. BMJ Case reports. 2009; doi: 10.1136/bcr.11.2008.1218
See this image in context in the following section/s:
Use of this content is subject to our disclaimer