Images and videos
Images

Zika virus infection
Recommended Zika virus testing and evaluation of infants born to mothers with laboratory evidence of Zika virus infection during pregnancy
Centers for Disease Control and Prevention
See this image in context in the following section/s:

Zika virus infection
CT scan of the head of an infant with Zika virus infection showing a clear distribution of periventricular calcifications
From the personal collection of Dr Geraldo Furtado, MD, MSc (used with permission)
See this image in context in the following section/s:

Zika virus infection
Interpretation of results of laboratory testing for evidence of congenital Zika virus infection
Centers for Disease Control and Prevention
See this image in context in the following section/s:

Zika virus infection
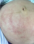
Characteristic maculopapular rash in a pregnant woman with Zika virus infection
From the personal collection of Dr Geraldo Furtado, MD, MSc (used with permission)
See this image in context in the following section/s:
Use of this content is subject to our disclaimer