Images and videos
Images

Chagas disease
Triatoma sanguisuga: vector species with wide distribution in the US
Cleber Galvao, PhD, Laboratório Nacional e Internacional de Referência em Taxonomia de Triatomíneos, Instituto Oswaldo Cruz, Rio de Janeiro, Brazil; used with permission
See this image in context in the following section/s:

Chagas disease
Barium swallow showing dilation of oesophagus
Grupo de Estudo em Correlalacao Anatomo-Clinica, Clínica Médica, Pontificia Universidade Catolica de Campinas, Sao Paulo, Brazil; used with permission
See this image in context in the following section/s:

Chagas disease
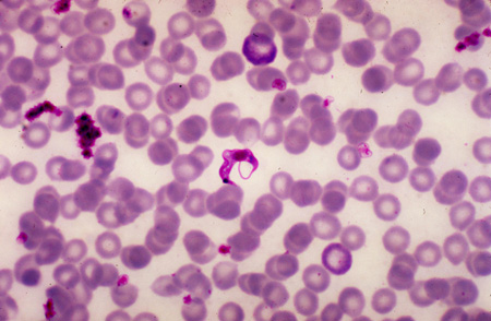
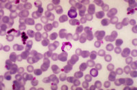
Trypanosoma cruzi metacyclic trypomastigotes on a peripheral blood smear prepared with Giemsa stain
Centers for Disease Control and Prevention, Atlanta, GA, USA: Public Health Image Library ID # 3013 (Dr Mae Melvin, 1977)
See this image in context in the following section/s:

Chagas disease
Barium enema showing excessive dilation of sigmoid colon
Grupo de Estudo em Correlalacao Anatomo-Clinica, Clínica Médica, Pontificia Universidade Catolica de Campinas, Sao Paulo, Brazil; used with permission
See this image in context in the following section/s:

Chagas disease
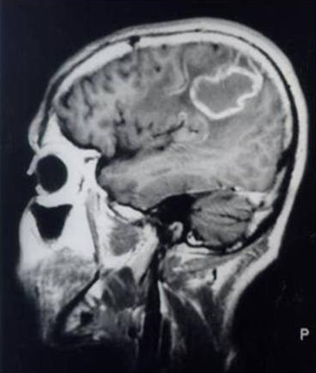
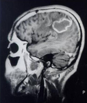
MRI brain in a patient with AIDS and reactivation of Chagas disease in CNS
Grupo de Estudos em Doenca de Chagas (GEDoCH), Departamento de Clínica Médica, Faculdade de Ciências Médicas, Universidade Estadual de Campinas, Sao Paulo, Brazil; used with permission
See this image in context in the following section/s:

Chagas disease
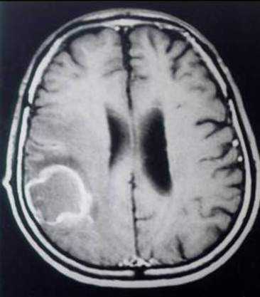
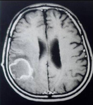
MRI brain in a patient with AIDS and reactivation of Chagas disease in CNS
Grupo de Estudos em Doenca de Chagas (GEDoCH), Departamento de Clínica Médica, Faculdade de Ciências Médicas, Universidade Estadual de Campinas, Sao Paulo, Brazil; used with permission
See this image in context in the following section/s:

Chagas disease
ECG with complete right bundle branch block and left anterior hemiblock
Grupo de Estudo em Correlalacao Anatomo-Clinica, Clínica Médica, Pontificia Universidade Catolica de Campinas, Sao Paulo, Brazil; used with permission
See this image in context in the following section/s:

Chagas disease
Life cycle of Trypanosoma cruzi, the causative parasite of Chagas disease
Centers for Disease Control and Prevention, Atlanta, GA, USA: Public Health Image Library ID # 3384 (Alexander J. da Silva, PhD/Melanie Moser, 2002)
See this image in context in the following section/s:

Chagas disease
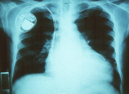
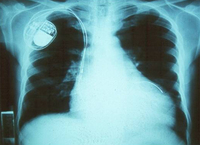
Chest x-ray: cardiomyopathy, heart enlargement
Grupo de Estudo em Correlalacao Anatomo-Clinica, Clínica Médica, Pontificia Universidade Catolica de Campinas, Sao Paulo, Brazil; used with permission
See this image in context in the following section/s:

Chagas disease
Child with an inoculation chagoma (Romaña's sign)
Grupo de Estudo em Correlalacao Anatomo-Clinica, Clínica Médica, Pontificia Universidade Catolica de Campinas, Sao Paulo, Brazil; used with permission
See this image in context in the following section/s:
Use of this content is subject to our disclaimer