Images and videos
Images

Yersinia infection
Gangrene of the right foot causing necrosis of the toes
From the image collection of the CDC; used with permission
See this image in context in the following section/s:

Yersinia infection
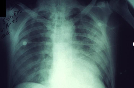
Plague infection involving both lung fields
From the image collection of the CDC; used with permission
See this image in context in the following section/s:

Yersinia infection
A female Xenopsylla cheopis flea, also known as the oriental rat flea
From the image collection of the CDC; used with permission
See this image in context in the following section/s:

Yersinia infection
Digital gangrene
From the image collection of the CDC; used with permission
See this image in context in the following section/s:

Yersinia infection
Axillary bubo
From the image collection of the CDC; used with permission
See this image in context in the following section/s:

Yersinia infection
Bipolar appearance with Wright stain
From the image collection of the CDC; used with permission
See this image in context in the following section/s:
Use of this content is subject to our disclaimer