Images and videos
Images

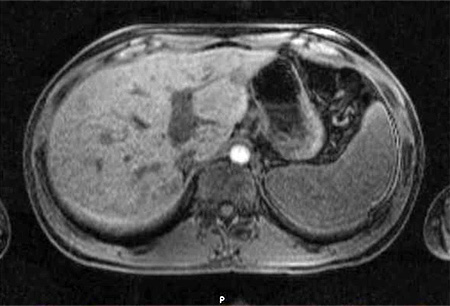
Bartonella infection
MRI abdomen, cat-scratch disease with disseminated infection: multiple small abscesses in liver, micro-abscesses in spleen
From the collection of Janak Koirala, MD
See this image in context in the following section/s:
Use of this content is subject to our disclaimer