Images and videos
Images

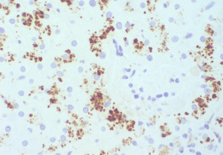
Dubin-Johnson syndrome
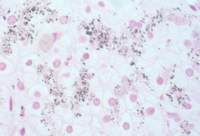
Immunohistochemistry for canalicular multi-specific organic anion transporter in patient showing the pigment but no canalicular structures
Personal collection of Professor Bernard Portmann, King's College Hospital, London, with permission
See this image in context in the following section/s:

Dubin-Johnson syndrome
Immunohistochemistry for multi-specific organic anion transporter in a control, showing no pigment, but irregularly branching canalicular structures can be seen
Personal collection of Professor Bernard Portmann, King's College Hospital, London, with permission
See this image in context in the following section/s:

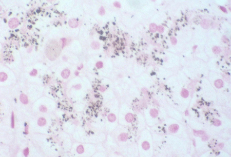
Dubin-Johnson syndrome
Masson-Fontana stain showing the pigment in a patient with DJS
Personal collection of Professor Bernard Portmann, King's College Hospital, London, with permission
See this image in context in the following section/s:
Use of this content is subject to our disclaimer