Images and videos
Images

Pseudohypoparathyroidism
Hands of an adult with Albright's hereditary osteodystrophy showing shortening of the IV metacarpal and distal phalanges, and knuckle dimples in the clenched fists
Wilson LC, Trembath RC. J Med Genet. 1994 Oct;31(10):779-84
See this image in context in the following section/s:

Pseudohypoparathyroidism
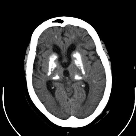
CT findings of severe basal ganglia calcification in a patient with pseudohypoparathyroidism
From the collection of Kent Wehmeier, University of Florida Jacksonville
See this image in context in the following section/s:

Pseudohypoparathyroidism
Overview of regulation of serum calcium. The double lines and dashed line indicate the defects in PTH signalling seen in pseudohypoparathyroidism. The defect in the kidney response is more pronounced
Created at the BMJ Evidence Centre based on author information
See this image in context in the following section/s:

Pseudohypoparathyroidism
The signalling cascade of parathyroid hormone
From the collection of Kent Wehmeier, University of Florida Jacksonville
See this image in context in the following section/s:

Pseudohypoparathyroidism
Eliciting Trousseau's sign
Cooper MS, Gittoes NJL. BMJ. 2008 Jun 7;336(7656):1298-302
See this image in context in the following section/s:

Pseudohypoparathyroidism
Eliciting Chvostek's sign
Cooper MS, Gittoes NJL. BMJ. 2008 Jun 7;336(7656):1298-302
See this image in context in the following section/s:

Pseudohypoparathyroidism
Child with Albright's hereditary osteodystrophy showing a round face and a short nose with a flat nasal bridge
Wilson LC, Trembath RC. J Med Genet. 1994 Oct;31(10):779-84
See this image in context in the following section/s:

Pseudohypoparathyroidism
Subtypes of pseudohypoparathyroidism
Created by Dr Emad Naem
See this image in context in the following section/s:

Pseudohypoparathyroidism
Hand radiograph suggestive of shortened IV and V metacarpals
From the collection of Kent Wehmeier, University of Florida Jacksonville
See this image in context in the following section/s:
Use of this content is subject to our disclaimer