Images and videos
Images

Alcohol-related liver disease
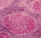
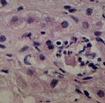
Liver biopsy showing the typical histological changes of alcohol-related steatosis (fatty liver)
From the collection of Dr McClain; used with permission
See this image in context in the following section/s:

Alcohol-related liver disease
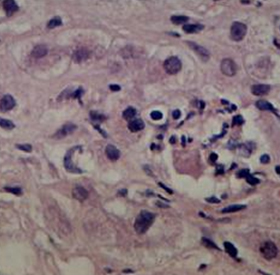
Liver biopsy showing the typical histological changes of alcohol-related steatohepatitis
From the collection of Dr McClain; used with permission
See this image in context in the following section/s:

Alcohol-related liver disease
Liver biopsy showing alcohol-related cirrhosis
From the collection of Dr McClain; used with permission
See this image in context in the following section/s:
Videos
- Abdominal paracentesis animated demonstration
Demonstrates how to perform diagnostic and therapeutic abdominal paracentesis.
Use of this content is subject to our disclaimer