Images and videos
Images

Blastomycosis
Cutaneous blastomycosis on the forearm
Personal files of Larry Baddour, MD
See this image in context in the following section/s:

Blastomycosis
Direct potassium hydroxide preparation at 20x magnification of a sputum specimen
Nancy L. Wengenack, PhD, D(ABMM), Director of Mycology and Mycobacteriology Laboratories, Assistant Professor of Microbiology and Lab Medicine, Mayo Clinic, Rochester, MN
See this image in context in the following section/s:

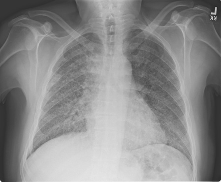
Blastomycosis
Pulmonary blastomycosis with focal infiltrates on chest x-ray
Dr Robert Orenstein, DO, Associate Professor of Medicine, Division of Infectious Diseases, Mayo Clinic, Scottsdale, AZ
See this image in context in the following section/s:

Blastomycosis
Cutaneous blastomycosis on the lower extremity
LuAnn Ziemer, Office of Medical Photography, Mayo Clinic, Rochester, MN
See this image in context in the following section/s:

Blastomycosis
Cutaneous blastomycosis on the lower extremity
LuAnn Ziemer, Office of Medical Photography, Mayo Clinic, Rochester, MN
See this image in context in the following section/s:

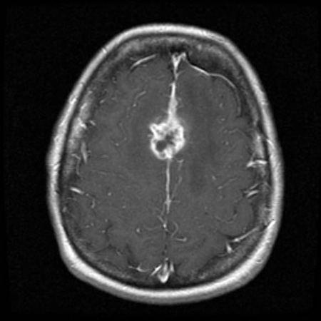
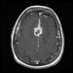
Blastomycosis
Axial T1 gadolinium-enhanced MRI image of cerebral blastomycosis
Dr William Marshall, MD, Assistant Professor of Medicine, Division of Infectious Diseases, Mayo Clinic, Rochester, MN
See this image in context in the following section/s:

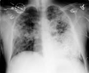
Blastomycosis
Pulmonary blastomycosis presenting as a miliary pattern on chest x-ray
Dr Robert Orenstein, DO, Associate Professor of Medicine, Division of Infectious Diseases, Mayo Clinic, Scottsdale, AZ
See this image in context in the following section/s:

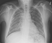
Blastomycosis
Close-up of reticulonodular findings on chest x-ray in disseminated blastomycosis
Personal files of Larry Baddour, MD
See this image in context in the following section/s:

Blastomycosis
Cutaneous manifestation of disseminated blastomycosis
Personal files of Larry Baddour, MD
See this image in context in the following section/s:

Blastomycosis
Direct potassium hydroxide preparation at 40x magnification of a sputum specimen
Nancy L. Wengenack, PhD, D(ABMM), Director of Mycology and Mycobacteriology Laboratories, Assistant Professor of Microbiology abd Lab Medicine, Mayo Clinic, Rochester, MN
See this image in context in the following section/s:
Use of this content is subject to our disclaimer