Images and videos
Images

Assessment of persistent pulmonary infiltrate
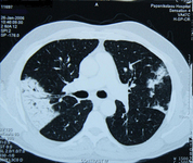
Chest CT scan of a patient with amiodarone pulmonary toxicity, showing asymmetric opacities with a peripheral distribution
From the collection of Athanasia Pataka, MD
See this image in context in the following section/s:

Assessment of persistent pulmonary infiltrate
Causes of non-resolving pneumonia
Created by the BMJ Knowledge Centre based on tables from Athanasia Pataka
See this image in context in the following section/s:

Assessment of persistent pulmonary infiltrate
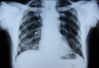
Posterior-anterior chest x-ray in Pneumocystis jiroveci pneumonia showing severe, bilateral pulmonary interstitial infiltrates with pneumatocoeles
From the collection of Matthew Gingo, UPMC
See this image in context in the following section/s:

Assessment of persistent pulmonary infiltrate
Aetiologies and possible differential diagnosis of interstitial lung disease
Created by the BMJ Knowledge Centre based on tables from Athanasia Pataka
See this image in context in the following section/s:

Assessment of persistent pulmonary infiltrate
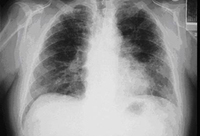
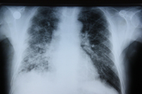
Chest x-ray of a patient with amiodarone pulmonary toxicity
From the collection of Athanasia Pataka, MD
See this image in context in the following section/s:

Assessment of persistent pulmonary infiltrate
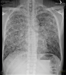
Posterior-anterior chest x-ray with bibasilar linear interstitial changes consistent with asbestosis
From the personal collection of Kenneth D. Rosenman, MD
See this image in context in the following section/s:

Assessment of persistent pulmonary infiltrate
Possible causal agents of drug-induced pulmonary parenchymal disease
Created by the BMJ Knowledge Centre based on tables from Athanasia Pataka
See this image in context in the following section/s:

Assessment of persistent pulmonary infiltrate
Radiographic resolution of causal pathogens of pneumonia
Created by Athanasia Pataka
See this image in context in the following section/s:

Assessment of persistent pulmonary infiltrate
Causes of persistent pulmonary infiltrate in immunocompromised patients
Created by the BMJ Knowledge Centre based on tables from Athanasia Pataka
See this image in context in the following section/s:

Assessment of persistent pulmonary infiltrate
Chest x-ray of a patient with eosinophilic pneumonia
From the collection of Athanasia Pataka, MD
See this image in context in the following section/s:
Use of this content is subject to our disclaimer