Images and videos
Images

Bariatric surgery sequelae
Ischaemic small bowel entrapped within a distal mesenteric hernia
From collection of Daniel M. Herron, MD
See this image in context in the following section/s:

Bariatric surgery sequelae
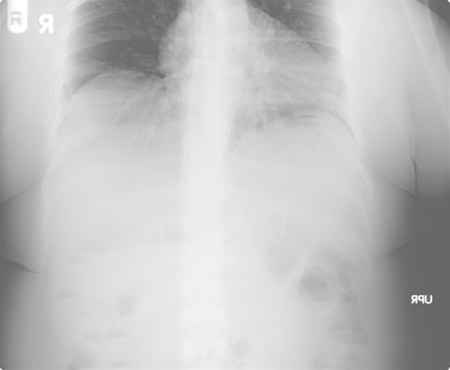
Plain radiographic view of an obstruction at the distal anastomosis. No air bubble is visible in the bypassed stomach (gastric remnant)
From collection of Daniel M. Herron, MD
See this image in context in the following section/s:

Bariatric surgery sequelae
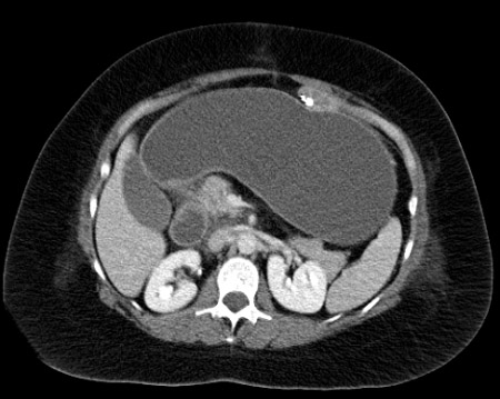
CT of the abdomen in the same patient reveals a tremendously dilated gastric remnant. With CT guidance, a dilated remnant is easily accessed percutaneously
From collection of Daniel M. Herron, MD
See this image in context in the following section/s:

Bariatric surgery sequelae
Biliopancreatic diversion with duodenal switch (BPD-DS)
Copyright ©2008 Daniel M. Herron, MD; used with permission
See this image in context in the following section/s:

Bariatric surgery sequelae
Laparoscopic adjustable gastric band
Copyright ©2008 Daniel M. Herron, MD; used with permission
See this image in context in the following section/s:

Bariatric surgery sequelae
Upper GI series in patient with adjustable gastric band in normal position. The dashed line is superimposed over the band to emphasise the normal angulation of the band, with the left side angled upwards approximately 20-40 degrees from the horizontal. Note the very small pouch between the band and the diaphragm
From collection of Daniel M. Herron, MD
See this image in context in the following section/s:

Bariatric surgery sequelae
Sleeve gastrectomy
Copyright ©2008 Daniel M. Herron, MD; used with permission
See this image in context in the following section/s:

Bariatric surgery sequelae
Roux-en-Y gastric bypass diagram
Copyright ©2008 Daniel M. Herron, MD; used with permission
See this image in context in the following section/s:
Use of this content is subject to our disclaimer