Approach
Unless the underlying cause is already apparent (and being appropriately managed), the presence of pancytopenia always warrants investigation by a haematologist.
The presence of severe pancytopenia (symptomatic anaemia, absolute reticulocyte count <60 x 10⁹/L [<60,000/microliter], WBC <0.5 x 10⁹/L [<500/microlitre], and platelets <20 x 10⁹/L [<20 x 10³/microlitre]) calls for urgent investigation (within 24-48 hours). A thorough history and physical examination are always required, preferably conducted by a haematologist. A full blood count and examination of peripheral blood film by a haematologist are essential. Bone marrow examination by aspirate and biopsy is almost always required.[29][30][31]
[Figure caption and citation for the preceding image starts]: Flow diagram for evaluation of pancytopenia. Abbreviations: PNH, paroxysmal nocturnal haemoglobinuria; IBMFS, inherited bone marrow failure syndromesFrom the collection of Jeff K. Davies [Citation ends].
History
The causes of pancytopenia are diverse, and likely causes of pancytopenia differ in children and adults. Particular attention must be paid to patient and family history. Of significance is any history of previous pancytopenia, or single-cell cytopenia, aplastic anaemia, inherited bone marrow failure syndromes (IBMFS), early fetal loss, history of cancer, metabolic disorders, liver disease, or connective tissue disorders. A thorough drug history is essential.
The symptoms and signs of pancytopenia relate to the blood cell lineages affected (red blood cells, white blood cells, and platelets). Mild pancytopenia is often symptomless and detected incidentally when a full blood count is performed for another reason, particularly in association with non-specific viral illnesses in children. Pancytopenia of this aetiology recovers spontaneously.
Spontaneous mucosal bleeding (gums, gastrointestinal tract), petechiae, and purpura with easy bruising secondary to thrombocytopenia are usually the first symptoms to develop directly related to more severe pancytopenia. This is often followed by symptomatic anaemia (fatigue, shortness of breath, dependent oedema, chest pain in patients with ischaemic disease) and bacterial infection secondary to neutropenia (fever, mucositis, abscesses, rigors).
Physical examination
A thorough physical examination is required, preferably by a haematologist. Weight loss and/or anorexia are harbingers of underlying infection (either precedent to the pancytopenia or as a result of it) or malignancy. Spontaneous mucosal bleeding (gums, gastrointestinal tract), petechiae, and purpura with easy bruising secondary to thrombocytopenia are usually the first signs to develop directly related to more severe pancytopenia. These signs are often accompanied by lymphadenopathy (underlying infection, mononucleosis, lymphoproliferative disorder, and malignancy). Abdominal discomfort is a common presentation of splenomegaly and associated conditions. Widespread bone pain and loss of height suggest myeloma, joint pain suggests systemic lupus erythematosus (SLE), and sore throat consideration of mononucleosis.
The following reference points to specific organ systems and associated conditions may be helpful to guide the examination.
Eye examination
Retinal haemorrhage (thrombocytopenia)
Leukaemic infiltrates (acute leukaemia)
Jaundiced sclera (paroxysmal nocturnal haemoglobinuria [PNH], hepatitis, cirrhosis)
Epiphora (dyskeratosis congenita)[Figure caption and citation for the preceding image starts]: Icterus or jaundiceCDC. Dr Thomas F. Sellers/Emory University; used with permission [Citation ends].

Oral examination
Oral petechiae or haemorrhage (thrombocytopenia)
Stomatitis or cheilitis (neutropenia, vitamin B12 deficiency)
Gingival hyperplasia (leukaemia)
Oral candidiasis or pharyngeal exudate (neutropenia, herpes family virus infections)[Figure caption and citation for the preceding image starts]: Angular cheilitisFrom the collection of Dr Wanda C. Gonsalves; patient consent obtained [Citation ends].
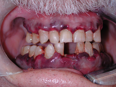
[Figure caption and citation for the preceding image starts]: Gingival enlargement, petechiae and bleeding in acute myeloid leukaemiaCollection of Giuseppina Campisi, DDS, MS and Giuseppe Pizzo, DDS [Citation ends].
Cardiovascular examination
Tachycardia, oedema, congestive cardiac failure (all signs of symptomatic anaemia)
Evidence of prior cardiac surgery (cardiac disease associated with congenital syndromes)
Respiratory examination
Clubbing (lung cancer)
Tachypnoea (sign of symptomatic anaemia)[Figure caption and citation for the preceding image starts]: Clubbing of nails showing loss of the classic Lovibond's angleFrom the collection of Dr Murlidhar Rajagopalan [Citation ends].

Abdominal examination
Right upper quadrant tenderness (hepatitis)
Lymphadenopathy (infection, lymphoproliferative disorder, HIV disease)
Signs of chronic liver disease
Splenomegaly (infection, myeloproliferative and lymphoproliferative disorders)
Skin examination
Malar rash (SLE)
Purpura/bruising (thrombocytopenia)
Reticular pigmentation, dysplastic nails (dyskeratosis congenita)
Hypopigmented areas
Hyperpigmentation, café au lait (Fanconi's anaemia)[Figure caption and citation for the preceding image starts]: Café au lait spots on the back of a young boyFrom the personal collection of Dr Vincent M. Riccardi; used with permission [Citation ends].

Musculoskeletal examination
Short stature (Fanconi's anaemia, other congenital syndromes)
Swelling/synovitis (SLE)
Abnormal thumbs and other radial ray anomalies (e.g., Fanconi's anaemia)
Signs associated with HIV disease
Morbilliform rash early
Kaposi's sarcoma, ulcerating nodules later
Inherited bone marrow failure syndromes (IBMFS) may have characteristic bony, renal, and other congenital abnormalities, or pulmonary or cutaneous abnormalities. A search for these should not be part of an initial work-up but, if found on images obtained for other reasons, should prompt further consideration of IBMFS as the aetiology of pancytopenia. The absence of physical anomalies does not rule out an IBMFS.
Laboratory
A full blood count and examination of peripheral blood film by a haematologist are essential. A standard battery of evaluative tests may include:
Serum reticulocyte count
Serum liver function tests and hepatic serology
Serum coagulation profile, bleeding time, fibrinogen, and D-dimer
Serum direct antiglobulin test
Serum B12 and folate
Serum HIV and nucleic acid testing.
Specific testing pinpoints diagnosis in the following conditions:
Fanconi's anaemia: diepoxybutane (DEB) test for chromosomal breakage in peripheral blood lymphocytes
Lymphoproliferative disorders: immunophenotyping, cytogenetics, lymph node biopsy
Multiple myeloma: immunoelectrophoresis
Paroxysmal nocturnal haemoglobinuria (PNH): peripheral blood immunophenotyping for deficiency of phosphatidylinositol-glycan-linked molecules on peripheral blood cells (e.g., CD16, CD55, CD59)
Cytomegalovirus infection: serum IgM and IgG
Epstein-Barr: serum monospot, viral capsid antigen (VCA), and Epstein-Barr nuclear antibody (EBNA)
Leishmaniasis and other rare infections: blood and bone marrow culture, serum enzyme-linked immunosorbent assay (ELISA)
Rare genetic and metabolic disease: leukocyte glucocerebrosidase activity.
Further specific tests include:
Serum prostate-specific antigen in suspect cases of prostatic malignancy
Telomere length
Genetic analysis involving tests for individual disorders based upon clinical suspicion, or newer panels (many currently in development) to evaluate for mutations and deletions. Germline mutations may be absent in peripheral blood lymphocytes due to mosaicism; consider skin fibroblasts for genetic analysis if there is a strong suspicion of a germline mutation.[32]
Examination of bone marrow is almost always indicated in cases of pancytopenia unless the cause is otherwise apparent (e.g., established liver disease with portal hypertension).[29][30][31] The bone marrow examination consists of both an aspirate and a trephine biopsy, which yield complementary information in this setting. The differential diagnosis of pancytopenia may be broadly classified based on the bone marrow cellularity (reduced cellularity indicates decreased production of blood cells, whereas normal/increased cellularity indicates ineffective production or increased destruction or sequestration of blood cells).
Specifically, bone marrow aspirate permits examination of:
Cytology (megaloblastic change, dysplastic changes, abnormal cell infiltrates, haemophagocytosis, and infection [e.g., Leishman-Donovan bodies])
Immunophenotype (acute and chronic leukaemias, lymphoproliferative disorders)
Cytogenetics (myelodysplasia [MDS], acute and chronic leukaemias, lymphoproliferative disorders).
Bone marrow trephine biopsy permits specific examination of cellularity:
Normal or increased in MDS, acute and chronic leukaemia, myeloma with plasma cells, carcinomatosis marrow infiltration, peripheral destruction/sequestration conditions, early HIV disease, and megaloblastic anaemia
Decreased after chemotherapy, acute infection/sepsis, advanced HIV disease, hypoplastic myelodysplastic syndrome, congenital/inherited BMFS, idiopathic aplastic anaemia, SLE, and PNH.
Trephine biopsy also permits examination of histology and evaluation for:
Cellular infiltration
Blasts
Features of MDS (e.g., abnormal localisation of immature precursors)
Reticulin stain (fibrosis).
In the developed world, it has been proposed that the most likely aetiology of new-onset pancytopenia, when investigated with bone marrow evaluation, is acute lymphoblastic leukaemia in children and acute myeloid leukaemia/myelodysplastic syndrome in adults.[33] In some other parts of the world (e.g., India), hypersplenism and infection may be the most frequent aetiologies of pancytopenia.[34]
Radiology
Abdominal ultrasound scan or computed tomography scan of the abdomen is indicated to evaluate for splenomegaly. Chest radiograph may reveal tumour masses responsible for pancytopenia (e.g., carcinoma, thymoma). In cases where metastatic infiltration of the bone marrow is suspected, thyroid ultrasound or breast imaging may also be appropriate. Inherited bone marrow failure syndromes may have characteristic bony, renal, or pulmonary abnormalities. A search for these should not be part of an initial work-up but, if found on images obtained for other reasons, should prompt further consideration of IBMFS as the aetiology of pancytopenia.
Use of this content is subject to our disclaimer