Images and videos
Images

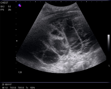
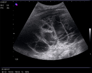
Empyema
Ultrasound image of heavily septated empyema
From the collection of Najib Rahman, RTU, Oxford
See this image in context in the following section/s:

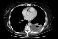
Empyema
CT scan of thoracic empyema
From the collection of Najib Rahman, RTU, Oxford
See this image in context in the following section/s:

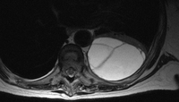
Empyema
MRI scan of septated empyema
From the collection of Najib Rahman, RTU, Oxford
See this image in context in the following section/s:

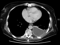
Empyema
CT scan of thoracic empyema
From the collection of Najib Rahman, RTU, Oxford
See this image in context in the following section/s:
Videos
- Pleural aspiration animated demonstration
Video demonstrating how to perform a pleural aspiration
- Insertion of intercostal drain, Seldinger technique: animated demonstration
How to insert an intercostal (chest) drain using the Seldinger technique. Video demonstrates: how to identify a safe site for insertion; use of an introducer needle, guidewire, dilators, and intercostal drain; how to confirm drain position; and post-procedure care.
- Insertion of intercostal drain, open technique: animated demonstration
How to insert an intercostal (chest) drain using the open technique. Video demonstrates: tube selection, how to identify the site for drain insertion, how to make the correct incision, how to insert the intercostal drain, how to secure the drain, and post-procedure care.
Use of this content is subject to our disclaimer