Imagens e vídeos
IMAGENS

Osteoporose
Tratamento de mulheres menopausadas sem osteoporose não induzida por glicocorticoide
Criado pelo BMJ Knowledge Centre
Veja esta imagem em contexto nas seguintes seções:

Osteoporose
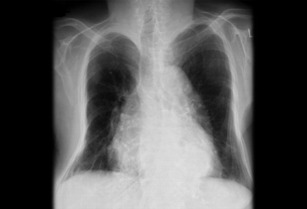
Radiografia torácica mostrando deformidade acentuada e perda de volume do tórax ósseo em um paciente com osteoporose
BMJ Case Reports 2009; doi:10.1136/bcr.07.2008.0359. Copyright ©BMJ publishing group 2010
Veja esta imagem em contexto nas seguintes seções:

Osteoporose
Eletromicrografia de varredura que mostra a estrutura da vértebra L3 em uma mulher de 31 anos (parte superior) e em uma mulher de 70 anos (parte inferior). Observe que muitas das estruturas tipo placa se converteram em bacilos finos
Poole KES, et al. BMJ 2006; 333: 1251; usado com permissão
Veja esta imagem em contexto nas seguintes seções:

Osteoporose
Tratamento da osteoporose induzida por glicocorticoides
Criado pelo BMJ Knowledge Centre
Veja esta imagem em contexto nas seguintes seções:
O uso deste conteúdo está sujeito ao nosso aviso legal