Recomendações
Principais recomendações
A isquemia mesentérica aguda é uma emergência com risco de vida.
Mantenha um alto índice de suspeita de isquemia intestinal, porque os sinais e sintomas são relativamente inespecíficos, mas a condição tem morbidade e mortalidade significativas, especialmente se o diagnóstico for tardio.[29] O tempo é essencial para melhorar os resultados; o reconhecimento precoce, os estudos diagnósticos apropriados e o tratamento agressivo devem ser instigados de forma urgente e rápida.
A apresentação clássica da isquemia mesentérica aguda é dor abdominal desproporcional ao exame.
Use imagens para fazer um diagnóstico na ausência de sinais e sintomas altamente específicos ou definitivos. Uma tomografia computadorizada urgente é a investigação de primeira linha preferida.
A história e o exame físico por si só geralmente não são suficientes para fazer o diagnóstico.
Quando clinicamente indicado, ressuscite em paralelo com a investigação diagnóstica para minimizar o risco de progressão da isquemia. Administre oxigênio suplementar e reposição adequada de fluidos e corrija insuficiência cardíaca aguda ou arritmias.
Quando a doença isquêmica intestinal fulminante estiver presente, não permita que testes diagnósticos extensivos atrasem a intervenção cirúrgica apropriada.
Esteja ciente de que a isquemia intestinal abrange um amplo espectro de distúrbios. As características e o histórico de apresentação variam consideravelmente. Diagnósticos alternativos devem ser excluídos.[30]
A isquemia mesentérica aguda é uma emergência com risco de vida.
Mantenha um alto índice de suspeita de isquemia intestinal, porque os sinais e sintomas tendem a ser inespecíficos, mas a condição tem morbidade e mortalidade significativas, especialmente se o diagnóstico for tardio.[29] O tempo é essencial para melhorar os resultados; o reconhecimento precoce, os estudos diagnósticos apropriados e o tratamento agressivo devem ser instigados de forma urgente e rápida.
Practical tip
Uma característica marcante da isquemia intestinal aguda recuperável é a dor abdominal muito intensa com falta de distúrbios fisiológicos ou sinais físicos.
Procure diferenciar a isquemia mesentérica da colite isquêmica. Os achados sugestivos de cada um dos possíveis tipos de doença intestinal isquêmica são os seguintes.
Isquemia mesentérica aguda
A maioria dos pacientes apresenta dor abdominal súbita, normalmente periumbilical. A apresentação clássica é dor desproporcional aos achados do exame físico.[8][20] Em geral, ela persistirá e se agravará. À medida que a isquemia evolui para infarto, a dor pode se tornar mais difusa.[20] Náuseas e vômitos também podem estar presentes.
O paciente pode estar gravemente doente em uma apresentação tardia, em que a isquemia intestinal é extensa ou evoluiu para infarto.
Pacientes com êmbolo arterial podem descrever dor abdominal súbita e intensa, com evacuação intestinal forte e rápida, possivelmente com sangue. A embolia arterial é a causa mais comum de isquemia mesentérica aguda.[31] Deve-se suspeitar de isquemia mesentérica aguda decorrente de êmbolo arterial em pacientes que descrevem dor abdominal intensa e súbita com:[31]
Evacuação intestinal forte e rápida, possivelmente com sangue, e/ou
Alto risco de tromboembolismo.
Pacientes com trombose venosa mesentérica têm apresentações mais variáveis que pacientes com etiologia arterial.
A dor geralmente é tolerada no início.
Em geral, esses pacientes descrevem cólica abdominal por, em média, 5 a 14 dias antes da apresentação; 25% dos pacientes tiveram episódios de dor por >30 dias antes da apresentação.
Cerca de 60% a 70% desses pacientes têm náuseas e vômitos associados, e 30% têm diarreia ou constipação.[32]
Uma duração mais longa dos sintomas antes da apresentação na isquemia venosa pode estar associada a melhores desfechos.[20]
Pacientes idosos com insuficiência cardíaca congestiva persistente, arritmias cardíacas, infarto do miocárdio recente, hipotensão ou doença vascular periférica apresentam risco mais alto de isquemia mesentérica aguda do que pacientes jovens.
Pacientes mais jovens podem ter uma história de doença vascular do colágeno, vasculite, estado hipercoagulável ou uso de medicamentos vasoativos ou cocaína.
Considere a isquemia intestinal se o quadro clínico não sugerir outra patologia abdominal.[32]
Isquemia mesentérica crônica
Início insidioso com episódios transitórios leves e repetidos ao longo de muitos meses, tornando-se progressivamente mais grave com o tempo. A dor é mal localizada. Pode piorar após o exercício e geralmente ocorre após as refeições, desaparecendo gradualmente ao longo de algumas horas.[30]
Os pacientes podem evitar comer ou ficar com medo de comer (sitofobia).[30]
Pode haver perda de peso significativa, deixando o paciente com uma aparência caquética.[30]
Os pacientes podem ter náuseas e diarreia associadas com ou sem sangue.[30]
A “tríade clássica” da isquemia mesentérica crônica é dor pós-prandial, perda de peso e sopro abdominal; no entanto, isso é encontrado em apenas uma minoria (cerca de 20%) dos pacientes.[30]
Infarto intestinal é incomum, pois a instalação insidiosa permite o desenvolvimento de alguma circulação colateral.
A isquemia mesentérica crônica geralmente ocorre em idosos. As mulheres são mais afetadas que os homens (razão 3:1).
Os pacientes frequentemente têm história de tabagismo pesado e outros sintomas associados à aterosclerose.
A síndrome de compressão celíaca é um tipo de isquemia mesentérica crônica que ocorre devido à compressão do eixo celíaco pelo ligamento arqueado mediano.[31]
Considere esse diagnóstico principalmente em pacientes mais jovens (especialmente mulheres) com dor abdominal inexplicável e endoscopia superior normal, bem como estudos laboratoriais normais de fígado, pâncreas e gástrico, particularmente naqueles pacientes com sopro abdominal (devido à obstrução parcial do fluxo no eixo celíaco).
Isquemia colônica
Logo depois do início da isquemia, geralmente ocorre dor com diarreia e e fezes sanguinolentas frequentes, refletindo lesões mucosas ou submucosas. No entanto, a transfusão de sangue raramente é necessária. A evacuação de sangue castanho ou vermelho do reto é particularmente característica da isquemia colônica.
Os pacientes costumam descrever dor leve a moderada, que geralmente é sentida de maneira periférica, em contraste com a dor da isquemia mesentérica aguda que costuma ser descrita como periumbilical. A isquemia normalmente ocorre nas áreas limítrofes do cólon (as áreas do cólon entre duas grandes artérias que fornecem sangue; consulte Fisiopatologia), portanto a dor costuma ocorrer no lado esquerdo. O desconforto à palpação do abdome sobre o intestino afetado ocorre no início da isquemia, em contraste à isquemia mesentérica aguda, em que o desconforto à palpação é um sinal relativamente tardio.
Os pacientes não costumam parecer gravemente doentes, a não ser que haja isquemia fulminante.
Se a isquemia colônica evoluir, a dor ficará mais contínua e difusa. O abdome fica mais distendido e flácido e não há ruídos hidroaéreos.
Se a isquemia progredir ainda mais e a necrose se aproximar, há um vazamento significativo de fluido, eletrólitos e proteínas pela mucosa lesada, com choque e acidose metabólica.
Os fatores de risco importantes para isquemia colônica são:[23]
Idade >60 anos
Cerca de 90% das pessoas com isquemia colônica têm mais de 60 anos
Hemodiálise
Hipertensão
Hipoalbuminemia
Diabetes mellitus
Medicamentos indutores de constipação.
A isquemia colônica é cada vez mais identificada em pessoas mais jovens, associada a esforços físicos extenuantes e prolongados (por exemplo, corrida de longa distância), vários medicamentos (por exemplo, anticoncepcionais orais), uso de cocaína e coagulopatias (por exemplo, deficiências de proteínas C e S, deficiência de antitrombina III, resistência à proteína C ativada).[4]
A isquemia colônica também pode ocorrer:
Após a cirurgia aórtica ou de revascularização do miocárdio
Em associação a vasculites como lúpus eritematoso sistêmico ou poliarterite nodosa, infecções (por exemplo, citomegalovírus, Escherichia coli O157:H7), coagulopatias
Depois de qualquer grande episódio cardiovascular acompanhado por hipotensão
Com lesões obstrutivas ou possivelmente obstrutivas do cólon (por exemplo, carcinoma, diverticulite).
O diagnóstico é feito por colonoscopia ou tomografia computadorizada (TC) com contraste ou sigmoidoscopia/colonoscopia flexível.[4] Mais de 80% se resolvem espontaneamente ou com medidas conservadoras, mas a cirurgia pode ser necessária em casos agudos, subagudos ou crônicos.
Os preditores de desfechos desfavoráveis incluem falta de sangramento retal e isquemia do lado direito.[33]
Isquemia não oclusiva (mesentérica ou colônica)
Normalmente observada em pacientes com hipotensão subjacente e déficits de volume, geralmente débito cardíaco inadequado causando hipoperfusão esplâncnica. Isso pode estar relacionado à insuficiência cardíaca congestiva, hipovolemia, sepse e arritmias cardíacas, hemodiálise ou até mesmo relacionado a medicamentos.[31][32]
Os fatores de risco para isquemia não oclusiva incluem idade avançada, comorbidades cardíacas e medicamentos como digoxina e diuréticos.[34][35] O diagnóstico é feito por tomografia computadorizada e angiotomografia computadorizada.
[Figure caption and citation for the preceding image starts]: Comparação dos sintomas/sinais e investigações dos três tipos de doença intestinal isquêmicaDesenvolvido pelo BMJ Knowledge Centre, com a colaboração do Dr. Amir Bastawrous [Citation ends].
Obtenha uma história completa para descartar com segurança outros possíveis diagnósticos. Use uma ferramenta como o mnemônico SOCRATES (Site, Onset, Character, Radiation, Associations, Timing, Exacerbating factors, Severity) para explorar as principais características da dor abdominal:
Site (Local)
Onset (Início)
Character (Característica)
Irradiação
Associações — náuseas, vômitos, diarreia
Timing, duration, frequency (Tempo, duração e frequência)
Exacerbating and relieving factors (Exacerbação e fatores atenuantes)
Severity (Gravidade).
Outros elementos importantes a serem considerados incluem história de tabagismo, fatores de risco cardiovascular, comorbidades e história médica pregressa.
Avalie os sinais vitais com prioridade para determinar se medidas imediatas de ressuscitação são necessárias. Em seguida, faça um exame completo de todos os sistemas, especialmente com foco no abdome e no sistema cardiovascular. Quando a isquemia intestinal está associada à vasculite ou a patologias específicas, podem estar presentes elementos dermatológicos, musculoesqueléticos ou outros achados característicos específicos da doença.
Exame abdominal
No início da isquemia mesentérica aguda, o abdome pode estar inocente, com desconforto à palpação mínimo ou ausente. Normalmente, pacientes com isquemia mesentérica aguda relatam inicialmente níveis de dor abdominal maiores do que os esperados pelos achados físicos.
Pacientes com isquemia colônica podem apresentar sensibilidade leve a moderada em um estágio anterior do curso da isquemia. Isso é sentido mais lateralmente nas partes afetadas do cólon em comparação com a dor e a sensibilidade da isquemia mesentérica aguda, que geralmente é mais periumbilical.
À medida que a isquemia progride em direção ao infarto, os pacientes desenvolvem sinais de peritonite, com abdome rígido e distendido; descompressão brusca ou defesa; sensibilidade à percussão e perda dos sons intestinais.
É fundamental considerar e diagnosticar ou descartar a isquemia mesentérica aguda em pacientes que apresentam dor abdominal grave com ausência de achados abdominais significativos. Os perigos do retardo no diagnóstico superam o risco de estudos invasivos precoces.[32]
A auscultação do abdome revela um sopro epigástrico (indicativo de fluxo turbulento em uma área de estenose vascular) em 48% a 63% dos pacientes.[19]
O exame retal pode demonstrar sangue macroscópico ou microscópico no reto após o teste de hemorragia oculta.
A peritonite indica a necessidade de intervenção cirúrgica urgente.
Exame cardiovascular
Realize um exame cardiovascular, incluindo um ECG. O ECG pode demonstrar arritmias que predispõem a complicações cardioembólicas, como fibrilação atrial ou flutter atrial, ou infarto agudo que pode ser a etiologia da isquemia intestinal.
O exame pode revelar sopros à ausculta carotídea, juntamente com alterações na pele, ausência de pelos e ausência de pulsos distais nos membros, consistentes com doença aterosclerótica avançada.
Exames laboratoriais
O exame de sangue inicial deve incluir testes para direcionar a ressuscitação inicial, ajudar a avaliar a gravidade de qualquer isquemia e fornecer pistas para diagnósticos alternativos.[36]
Hemograma completo
Mais de 90% dos pacientes com isquemia mesentérica aguda apresentarão contagem leucocitária anormalmente elevada.[8]
Pode revelar anemia (geralmente em resultado de repetidos episódios de melena) que piora a isquemia.
Ureia e eletrólitos[36]
Ajuda a avaliar a disfunção renal e a desidratação, frequentemente presentes em pacientes com doença intestinal isquêmica.
Testes de função hepática[36]
Podem estar elevados, como consequência de choque séptico ou concomitante com a isquemia intestinal.
Gasometria arterial e lactato sérico
Estudos de coagulação, tipagem e reserva de sangue e prova cruzada[36]
Auxilia no diagnóstico de qualquer coagulopatia subjacente como fator de risco de trombose. Permite a correção de qualquer discrasia de coagulação como parte do tratamento.
Tipagem e reserva de sangue em preparação para a possibilidade de uma transfusão.
Amilase sérica
Amilase sérica elevada é encontrada em aproximadamente metade dos pacientes com isquemia mesentérica aguda.[8]
dímero D
Pode estar elevado na isquemia intestinal, mas seu uso é limitado, pois o dímero D é um teste muito inespecífico.[8]
Na suspeita de colite isquêmica, inclua também:[36][37]
proteína C-reativa
Cultura fecal
Ensaio para toxina de Clostridium difficile
Estudos para ovos, cistos e parasitas.
Priorize uma tomografia computadorizada (TC) urgente do abdome para diagnosticar isquemia e descartar outros possíveis diagnósticos.[8][20][30]
Se nenhum diagnóstico alternativo for feito após a tomografia computadorizada, considere uma angiografia seletiva em discussão com um radiologista. Com base nos achados angiográficos, trate o paciente de acordo com a causa específica da isquemia.
Se você suspeitar de isquemia mesentérica crônica, discuta os achados de imagens e o quadro clínico geral com uma equipe multidisciplinar (incluindo pelo menos um gastroenterologista, um radiologista intervencionista e um cirurgião vascular).[30]
Se você suspeitar de isquemia aguda e a tomografia computadorizada ou angiografia não estiverem imediatamente disponíveis, discuta o paciente com um cirurgião consultor, pois uma laparoscopia exploratória imediata e uma possível laparotomia podem ser indicadas nos pacientes com suspeita de isquemia intestinal. A laparotomia sem um exame de imagem prévio pode ser indicada nos pacientes instáveis com sinais peritoneais. Lembre-se, entretanto, de que a tomografia computadorizada está amplamente disponível nos países desenvolvidos, como o Reino Unido.
Tomografia computadorizada (TC)
A tomografia computadorizada é a investigação de primeira linha preferencial no diagnóstico da isquemia mesentérica aguda ou crônica.[8][20][30][38] Obtenha o exame precocemente; o diagnóstico imediato (e a intervenção) são essenciais para melhorar o desfecho clínico. Use a TC com multidetectores e contraste intravenoso para uma suspeita de isquemia mesentérica aguda.[20] Considere uma tomografia computadorizada mesmo na presença de insuficiência renal, a fim de salvar a vida e evitar uma piora da lesão renal.[8][9][20]
A TC fornece evidências da extensão do comprometimento intestinal decorrente da isquemia; ela é útil para diagnosticar isquemia mesentérica aguda, mas os achados podem ser inespecíficos na isquemia inicial.[39][40] Os primeiros sinais incluem espessamento da parede intestinal e dilatação luminal. Os sinais tardios incluem pneumatose (gás na parede intestinal) e gás mesentérico ou venoso portal, o que geralmente indica necrose intestinal.[32][41] Os outros sinais tardios incluem um intestino edematoso e um aumento variável do intestino cercado por líquido livre.[31] Pode mostrar espessamento da parede intestinal com sinais de impressão digital sugestivos de edema ou hemorragia submucosos, o que sugere um pior prognóstico.
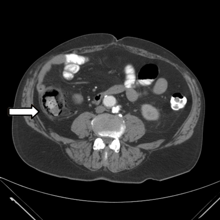
[Figure caption and citation for the preceding image starts]: Tomografia computadorizada (TC): espessamento colônico com pneumatose intestinalDo acervo da Dra. Jennifer Holder-Murray; usado com permissão [Citation ends].
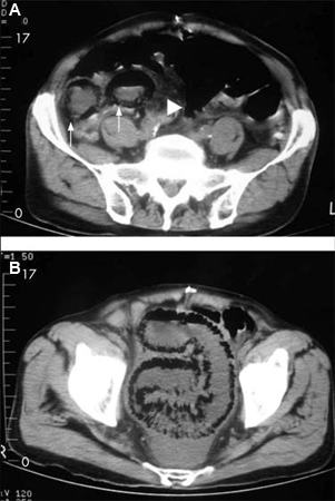
[Figure caption and citation for the preceding image starts]: Homem de 84 anos que apresenta sintomas sugestivos de doença intestinal isquêmica: (A) Tomografia computadorizada (TC) abdominal que revela uma formação de ar circunferencial maciça e em forma de faixas como pneumatose intestinal (setas) e edema pronunciado da gordura mesentérica (ponta de seta) ao redor das alças intestinais necrosadas; (B) Outra secção da TC abdominal mostrando pneumatose segmentar longa do intestino delgadoLin I, Chang W, Shih S, et al. Bedside echogram in ischaemic bowel. BMJ Case Reports 2009:bcr.2007.053462 [Citation ends].
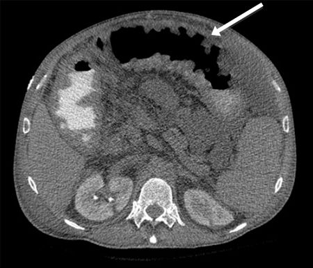
[Figure caption and citation for the preceding image starts]: Tomografia computadorizada (TC): espessamento circunferencial da parede do cólon transverso; as setas brancas mostram o sinal de impressão digitalDo acervo do Dr. Amir Bastawrous; usado com permissão [Citation ends].
Ela também permite a estratificação dos pacientes para diferenciar aqueles que se beneficiariam de uma angiografia mesentérica daqueles que necessitam de cirurgia primária; a tomografia computadorizada também pode informar o estadiamento patológico; o grau de envolvimento de cada camada do trato gastrointestinal (mucosa, submucosa, muscular e serosa) pode ser usado para estimar a probabilidade de reversibilidade da isquemia, ajudando assim a orientar o tratamento.[42]
Para diagnosticar trombose venosa mesentérica (TVM) aguda, a TC com contraste é o procedimento de escolha, pois permite fazer o diagnóstico em >90% dos pacientes. Radiolucência central nas veias mesentéricas após a injeção do contraste indica trombose. Outros achados sugestivos incluem o alargamento da veia mesentérica superior, o espessamento da parede do intestino ou colaterais dilatadas em um mesentério engrossado. Se TVM for diagnosticada na TC, a angiografia talvez não seja necessária, embora ela forneça uma melhor delineação das veias com trombose e facilite a administração intra-arterial de vasodilatadores.[32]
Considere uma angiotomografia precoce em um paciente com dor abdominal e acidose láctica.[8] A angiotomografia substituiu a angiografia convencional como prática padrão para avaliação da vasculatura mesentérica e diagnóstico de isquemia mesentérica aguda.[30] Ela pode ser usada no diagnóstico de uma isquemia mesentérica não oclusiva (IMNO).[43] A angiotomografia também pode fornecer informações para ajudar a decidir sobre a modalidade do tratamento, como o reparo endovascular.
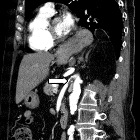
[Figure caption and citation for the preceding image starts]: Angiotomografia: trombo agudo da artéria mesentérica superiorDo acervo da Dra. Jennifer Holder-Murray; usado com permissão [Citation ends].
[Figure caption and citation for the preceding image starts]: Angiotomografia: reconstrução tridimensional com estenose da artéria mesentérica superior devida a placa arteriosclerótica grave em um paciente submetido a imagens de acompanhamento após reparo de aneurisma endovascularDo acervo da Dra. Jennifer Holder-Murray; usado com permissão [Citation ends].
Na colite isquêmica, as características da colite, como o espessamento da parede intestinal e o encalhe de gordura pericólica, podem ser observadas na TC.[36][44] Um envolvimento do lado direito observado na tomografia computadorizada pode indicar doença grave que requeira intervenção cirúrgica.[36][44]
Angiografia por ressonância magnética
A angiografia por ressonância magnética pode ter um papel no diagnóstico da isquemia mesentérica crônica.[30] No entanto, a angiotomografia computadorizada é um exame melhor que a angiografia por ressonância magnética (ARM) para o diagnóstico de isquemia mesentérica crônica devido à sua maior capacidade de resolução em combinação com exames mais rápidos.
O tempo necessário para realizar exames de ressonância magnética e a possível necessidade de estimulação intestinal com uma refeição limitam a utilidade da ressonância magnética no diagnóstico da isquemia mesentérica aguda.
Angiografia mesentérica
Historicamente, a angiografia mesentérica tem sido o teste definitivo para o diagnóstico de isquemia mesentérica. Na prática atual, ela é geralmente precedida de uma angiotomografia nos quadros agudos. A sensibilidade é de 74% a 100%, e a especificidade é de 100%.[32]
Uma angiografia mesentérica pode diagnosticar a IMNO antes que o infarto ocorra; procure:
Estenose das origens das ramificações da artéria mesentérica superior
Irregularidades nessas ramificações
Espasmos dos arcos mesentéricos
Preenchimento dos vasos intramurais prejudicado.
A angiografia mesentérica é frequentemente realizada com a intenção de se proceder a uma intervenção. Ela permite o tratamento por infusão de vasodilatadores ou agentes trombolíticos (os quais demonstraram melhorar os desfechos).
Para o diagnóstico de isquemia mesentérica crônica, a angiografia precisa demonstrar oclusão grave de pelo menos 2 dos 3 vasos esplâncnicos, embora na ausência de sintomas apenas um resultado de angiografia anormal não seja suficiente para o diagnóstico.[45]
Sigmoidoscopia ou colonoscopia
A sigmoidoscopia ou colonoscopia podem ser usadas para estabelecer o diagnóstico de isquemia colônica, determinar a gravidade e descartar causas alternativas da inflamação colônica. No entanto, se for necessária uma intervenção cirúrgica urgente devido ao quadro clínico do paciente, a cirurgia não deve ser adiada para se realizar uma sigmoidoscopia ou colonoscopia.
[Figure caption and citation for the preceding image starts]: Colonoscopia: demarcação entre cólon isquêmico e normalDo acervo da Dra. Jennifer Holder-Murray; usado com permissão [Citation ends].
[Figure caption and citation for the preceding image starts]: Colonoscopia: denudação da mucosa colônicaDo acervo da Dra. Jennifer Holder-Murray; usado com permissão [Citation ends].
[Figure caption and citation for the preceding image starts]: Colonoscopia: descamação da mucosa e cólon provavelmente não viávelDo acervo da Dra. Jennifer Holder-Murray; usado com permissão [Citation ends].
Endoscopia digestiva alta
Realize uma endoscopia digestiva alta nos pacientes com suspeita de isquemia mesentérica crônica, a fim de se descartarem diagnósticos alternativos envolvendo o trato gastrointestinal superior.[30]
Ultrassonografia duplex mesentérica
A ultrassonografia duplex mesentérica é particularmente útil se a obstrução for proximal nos vasos mesentéricos, mas a ultrassonografia não pode avaliar o fluxo dos vasos sanguíneos mesentéricos distais e etiologias não oclusivas da isquemia.[9] Ela é utilizada principalmente nas unidades vasculares, onde é a investigação de primeira linha preferencial para a avaliação da isquemia mesentérica crônica.[46]
A ultrassonografia do intestino pode ser usada para diagnosticas colite isquêmica (desde que o usuário tenha a experiência adequada) e diferenciar entre doença do lado esquerdo e direito.[37] É um esquema alternativo para pacientes que não toleram o meio de contraste.[36] No entanto, ela não é considerada uma investigação de rotina e só deve ser realizada por um radiologista com experiência suficiente em ultrassonografia.
Radiografia abdominal
A radiografia abdominal tem um papel limitado no diagnóstico e na avaliação da isquemia mesentérica aguda.[8][20] Uma radiografia negativa não descarta o diagnóstico.[8] As radiografias simples geralmente estão normais no início do curso da isquemia ou quando a isquemia é leve. Os raios-X não são uma investigação frequentemente usada para a doença isquêmica intestinal.
Com o agravamento da isquemia, a radiografia simples pode mostrar alças intestinais disformes, íleo paralítico ou espessamento da parede do intestino com o sinal da impressão digital, indicando edema ou hemorragia da submucosa.
[Figure caption and citation for the preceding image starts]: Radiografia abdominal simples: demonstra espessamento acentuado da parede do cólon transversal compatível com o achado do sinal de impressão digital (setas brancas)Do acervo do Dr. Amir Bastawrous; usado com permissão [Citation ends].
radiografia torácica em posição ortostática
A radiografia torácica pode mostrar ar subdiafragmático, indicativo de perfuração do intestino que requer intervenção cirúrgica imediata. Os raios-X não são uma investigação frequentemente usada para a doença isquêmica intestinal.
Como registrar um ECG. Demonstra a colocação de eletrodos no tórax e nos membros.
Como colher uma amostra de sangue venoso da fossa antecubital usando uma agulha a vácuo.
O uso deste conteúdo está sujeito ao nosso aviso legal

