Imagens e vídeos
IMAGENS

Infertilidade em mulheres
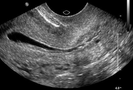
Ultrassonografia com infusão de solução salina normal
Do acervo do Dr. Jared C. Robins
Veja esta imagem em contexto nas seguintes seções:

Infertilidade em mulheres
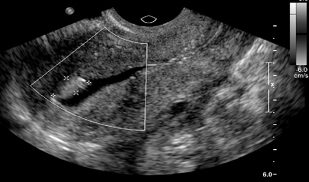
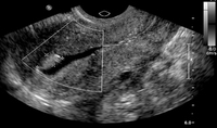
Ultrassonografia com infusão de solução salina com pólipo
Do acervo do Dr. Jared C. Robins
Veja esta imagem em contexto nas seguintes seções:

Infertilidade em mulheres
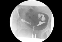
Histerossalpingografia normal (HSG)
Do acervo do Dr. Jared C. Robins
Veja esta imagem em contexto nas seguintes seções:

Infertilidade em mulheres
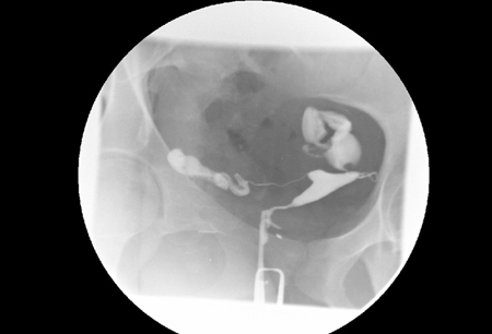
Histerossalpingografia (HSG) demonstrando hidrossalpinges bilaterais
Do acervo do Dr. Jared C. Robins
Veja esta imagem em contexto nas seguintes seções:
O uso deste conteúdo está sujeito ao nosso aviso legal