Complicações
As taxas de síndrome compartimental abdominal (SCA) são estimadas em aproximadamente 20% após o reparo aberto do aneurisma da aorta abdominal (AAA) roto.[2][217] Uma pequena revisão retrospectiva relatou SCA em 34% dos pacientes após um reparo aberto de AAA roto, e em 21% após um reparo endovascular de aneurisma (EVAR).[218] Um estudo nacional de base populacional (Swedish Vascular Registry) constatou que, após o reparo do AAA roto, a SCA se desenvolveu em 6.8% após reparo aberto, comparado com 6.9% após EVAR.[219] Uma revisão sistemática de 46 estudos, que incluiu 3064 pacientes, mostrou que a SCA afeta aproximadamente 9% dos pacientes após um EVAR para AAA roto.[220] A SCA está associada a aumentos significativos da mortalidade perioperatória.[220]
Avalie as pessoas quanto à presença de síndrome compartimental abdominal se o quadro clínico delas não melhorar após o EVAR ou reparo cirúrgico aberto de um AAA roto.[42] Os pacientes com síndrome compartimental abdominal após o tratamento aberto ou endovascular de um AAA roto devem ser tratados com laparotomia descompressiva.[2]
Íleo paralítico foi relatado em 11% dos pacientes, a obstrução intestinal e a colite ocorreram em 1% cada dos pacientes submetidos a reparo aberto.[198] Uma revisão relatou uma prevalência de isquemias intestinais clinicamente relevantes de aproximadamente 10% após a cirurgia para aneurisma da aorta abdominal (AAA) roto.[221] Se houver suspeita de isquemia colônica em pacientes submetidos a tratamento por via aberta ou endovascular para AAA, a sigmoidoscopia flexível deve ser considerada para confirmar o diagnóstico.[2] É rara a ocorrência de colite isquêmica com necessidade de colectomia.
Após o reparo endovascular do aneurisma (EVAR) e o reparo aberto do aneurisma da aorta abdominal (AAA), há uma incidência significativa de lesão renal aguda (LRA).[222][223][224] Nos reparos abertos, isso parece ser transitório. No entanto, após o EVAR as causas são multifatoriais, e o declínio da função renal é significativamente maior (especialmente com a fixação suprarrenal) do que na cirurgia por via aberta.[225] A LRA após EVAR está associada a morbidade e mortalidade aumentadas a médio prazo.[222] Uma estratégia para preservar a função renal por meio de redução da dose de contrastes iodados, suspensão de medicamentos nefrotóxicos e garantia de hidratação adequada deve ser considerada nos pacientes submetidos a EVAR de um AAA complexo.[2] A preservação das grandes artérias renais acessórias (4 mm) também deve ser considerada.[2] Dados de pequenos ensaios clínicos randomizados e controlados respaldam o possível uso de várias intervenções, inclusive manitol, suplementos antioxidantes, uma abordagem extraperitoneal para os reparos abertos, e peptídeo natriurético atrial humano, para reduzir a incidência de LRA após os reparos de AAA eletivos.[226] No entanto, estudos clínicos randomizados multicêntricos maiores e de melhor qualidade ajudarão a determinar quais intervenções são efetivas.
A síndrome pós-implantação, uma complicação pouco compreendida do reparo endovascular do aneurisma (EVAR), ocorre no período pós-operatório inicial e pode durar até 10 dias após o EVAR.[227] A febre, o mal-estar e a dorsalgia, os quais podem ser decorrentes da liberação de citocinas, são típicos. Os eventos cardiovasculares precoces graves são mais comuns nos pacientes que desenvolvem síndrome pós-implantação, embora aparentemente não haja nenhuma implicação ou impacto na mortalidade em longo prazo.[227][228]
As taxas de amputação devido à isquemia de membro foram muito baixas (0.1% em 30 dias) em uma grande série de pacientes (n = 1135) submetidos a reparo por via aberta.[198] Os pacientes com um novo episódio ou piora de isquemia de membro inferior devem ser imediatamente avaliados quanto à presença de problemas relacionados ao enxerto, como torção ou oclusão no membro.[2]
A isquemia da medula espinhal é rara após um reparo endovascular de aneurisma (EVAR), com uma incidência de 0.21% no registro colaborativo EUROSTAR.[229] Em uma análise retrospectiva do tratamento endovascular de emergência do aneurisma roto da aorta abdominal, 4 de 35 pacientes (11.5%) desenvolveram isquemia da medula espinhal no pós-operatório.[230] Foi relatada isquemia da medula óssea tardia (desenvolvimento 2 dias após EVAR).[231] Tempo cirúrgico aumentado, manuseio intravascular e anatomia difícil contribuem para um aumento do risco de isquemia da medula espinhal.[232] O reconhecimento precoce é essencial, com tratamento incluindo drenos espinhais e administração de esteroides. Apenas 25% dos casos se recuperam, com 25% mostrando alguma melhora e 50% sem melhora.[232]
Danos aos nervos autonômicos (presentes na bifurcação aortoilíaca) durante a dissecção no reparo por via aberta, bem como a redução no suprimento sanguíneo pélvico, podem resultar em impotência e ejaculação retrógrada. O reparo endovascular do aneurisma (EVAR) pode também resultar em disfunção erétil significativa, principalmente por oclusão da artéria ilíaca interna (IIA). Estudos que comparam as taxas de disfunção erétil após um reparo por via aberta versus EVAR mostraram achados inconsistentes. Uma revisão estimou a incidência de nova disfunção erétil entre 20% e 83% no primeiro ano após o reparo por via aberta (a variação dependeu do tipo de estudo).[233] A incidência estimada de nova disfunção erétil não foi superior a 14.3% após o reparo endovascular (e foi pior após oclusão bilateral do que unilateral da AII).[233] No entanto, um estudo prospectivo unicêntrico não constatou nenhuma diferença estatisticamente significativa na disfunção erétil "de novo" entre os grupos de reparo aberto e EVAR.[234] Aproximadamente 27% dos pacientes relataram disfunção erétil antes do reparo aberto, aumentando para 53% 1 ano após a cirurgia. As frequências correspondentes após o EVAR foram de 43% e 59%, respectivamente.[2][234] Para os pacientes tratados com aneurisma da aorta abdominal que sofrem de uma nova disfunção sexual pós-operatória, deve-se considerar encaminhamento para equipes especializadas.[2]
Uma série de casos relatou aneurismas para-anastomóticos em 10% dos pacientes após revascularização do miocárdio.[235] A taxa de pseudoaneurisma anastomótico femoral pode chegar a 20% em 10 anos após a reconstrução aortobifemoral do aneurisma de aorta abdominal.[236] Para os pacientes com formação de aneurisma para-anastomótico, deve-se considerar uma infecção como causa subjacente.[2] A infecção do enxerto pode ser a causa subjacente da formação de aneurisma secundário, principalmente nos primeiros anos após o reparo.[2] Para os pacientes com formação de aneurisma aortoilíaco para-anastomótico não infeccioso após um reparo prévio de aneurisma da aorta abdominal, deve-se considerar preferencialmente o reparo endovascular.[2][237]
A dilatação do colo aórtico ocorreu em 24.6% dos pacientes com reparo endovascular do aneurisma durante 15 meses a 9 anos de acompanhamento.[154] Um evento clínico composto de vazamento (endoleak), migração e nova intervenção foi significativamente mais comum neste grupo do que naqueles pacientes sem dilatação do colo aórtico.
Pode resultar de infecção durante o implante ou disseminação hematogênica após procedimentos odontológicos ou procedimentos endoscópicos com biópsia. A incidência é baixa: um estudo de coorte retrospectivo constatou que a taxa de infecção do enxerto a 2 anos foi de 0.19% após o reparo aberto versus 0.16% com o reparo endovascular do aneurisma.[238] A remoção cirúrgica do endoenxerto infectado é o tratamento ideal; há uma alta taxa de mortalidade com tratamento clínico isolado.[2][239]
A obstrução ureteral está relacionada com o encarceramento dos ureteres em fibrose perianeurismal inflamatória de etiologia não determinada, em vez de por compressão do aneurisma.[240] Na maioria das vezes, a compressão ureteral está associada a um aneurisma da aorta inflamatório. Aderências retroperitoneais extensas podem resultar em obstrução ureteral em 18% dos pacientes. A veia cava inferior pode ficar comprometida.[241]
Obstrução duodenal é uma consequência da compressão do duodeno no seu curso fixo retroperitoneal entre a aorta com o aneurisma e a artéria mesentérica superior.[240]
A incidência de oclusão de enxerto de membro em até 10 anos após o reparo aberto do aneurisma de aorta abdominal foi relatada como sendo entre 2.6% e 3.0%.[242][243] O risco de oclusão do enxerto é maior com o reparo endovascular do aneurisma (EVAR), com uma incidência relatada de até 7.2% em estudos de acompanhamento.[244] Dobra do enxerto é um fator de risco para a oclusão de enxerto de membro após EVAR.[245]
Um vazamento endovascular (endoleak) é um fluxo sanguíneo persistentemente fora do enxerto e dentro do saco aneurismático após um reparo endovascular de aneurisma (EVAR).[246][247] Ele não é uma complicação que ocorre após um reparo cirúrgico aberto.
A vigilância pós-operatória pode detectar grandes vazamentos (endoleaks) e a expansão do saco aneurismático.
Solicite uma angiotomografia com contraste se houver uma suspeita de endoleak. Use uma ultrassonografia com contraste se a TC com contraste for contraindicada.[42]
O risco de vazamento (endoleak) após o EVAR é de 24%.[246] Existem cinco tipos de vazamento endovascular (endoleak).
Tipo I:
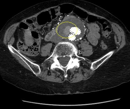
Vazamento no local de afixação (tipo IA na extremidade proximal da endoprótese ou oclusor da ilíaca; tipo IB na extremidade distal); geralmente imediatos, mas podem ocorrer vazamentos tardios.[Figure caption and citation for the preceding image starts]: Vazamento (endoleak) do tipo I na anastomose ilíaca esquerda distal (vazamento circulado)University of Michigan, mais especificamente os casos do Dr. Upchurch, representando os Departamentos de Cirurgia vascular e Radiologia [Citation ends].

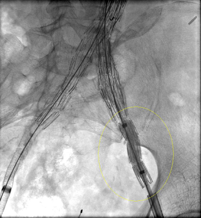
Deve-se fazer todo o esforço possível para reparar vazamentos (endoleaks) do tipo I antes de finalizar o procedimento (por exemplo, moldagem por balão da zona de vedação proximal, colocação de um manguito proximal, grampeamento interno, embolização líquida).[248] Para os pacientes com comprometimento da selagem proximal após um reparo endovascular do aneurisma da aorta abdominal, deve-se considerar uma extensão proximal com dispositivos fenestrados e ramificados.[2] Um endoleak do tipo IA persistente pode necessitar de conversão para reparo aberto, desde que o risco cirúrgico seja aceitável.[2][77][249][Figure caption and citation for the preceding image starts]: Enxerto de endoprótese de extensão implantado para o mesmo vazamento (endoleak) do tipo I (circulado)University of Michigan, mais especificamente os casos do Dr. Upchurch, representando os Departamentos de Cirurgia vascular e Radiologia [Citation ends].
[Figure caption and citation for the preceding image starts]: Resolução do vazamento (endoleak) tipo I, revertido após extensão implantadaUniversity of Michigan, mais especificamente os casos do Dr. Upchurch, representando os Departamentos de Cirurgia vascular e Radiologia [Citation ends].
Tipo II:
Vazamento de ramo patente.[Figure caption and citation for the preceding image starts]: Vazamento (endoleak) do tipo II (circulado) descoberto na tomografia computadorizada (TC) de acompanhamentoUniversity of Michigan, mais especificamente os casos do Dr. Upchurch, representando os Departamentos de Cirurgia vascular e Radiologia [Citation ends].

Pode ocorrer resolução espontânea, embora a persistência possa resultar em crescimento do saco.[250]
Se um vazamento (endoleak) tipo II ou outra anormalidade preocupante forem observados em TC com contraste 1 mês após o EVAR, recomenda-se imagiologia pós-operatória após 6 meses.[77] Cerca de 50% dos endoleaks do tipo II são diagnosticados antes de 30 dias de acompanhamento, 40% são diagnosticados após 30 dias de acompanhamento, e 8% são diagnosticados após 12 meses de acompanhamento.[251]
O tratamento só deve ser considerado na presença de um crescimento significativo do saco aneurismático (≥10 mm em comparação com o basal ou com o menor diâmetro durante o acompanhamento usando a mesma modalidade de imagem e método de medição), primariamente por meios endovasculares, desde que tenham sido descartadas causas alternativas, inclusive endoleaks dos tipos I ou III.[2]
O tratamento de primeira escolha é a embolização com mola transarterial, embora ligadura laparoscópica de ramos colaterais, punção percutânea translombar direta do saco, embolização translombar e embolização transcaval transcateter tenham sido relatados.[247][252][253][254][255][256][257][258][259][260][261][262][263]
Tipo III:
Defeito do enxerto com vazamento através de rasgos no tecido, desconexão do enxerto ou desintegração do tecido.[246][247][264]
O reparo é indicado após a descoberta (extensão do enxerto por endoprótese endovascular).[2][77][253][265]
Tipo IV:
Tipo V (endotensão):
Endotensão é o aumento da pressão dentro do saco após EVAR sem visualização de vazamento (endoleak) em TCs com contraste tardias.
A endotensão é menos comum com os enxertos de nova geração.[77]
Não existe um método padrão para medir a endotensão nem há consenso sobre a terapia indicada na ausência de aumento do aneurisma: no entanto, sugere-se o tratamento da endotensão para impedir a ruptura do aneurisma em pacientes selecionados com expansão contínua do aneurisma.[77][247]
A incidência é de 3% a 29%, afetando mais comumente os dedos (síndrome do dedo azul). A incidência de embolização distal é de 5%, resultando em risco de isquemia dos membros, isquemia digital e mionecrose da panturrilha.[266]
Os pacientes com doença aneurismática têm uma alta prevalência de hérnias da parede abdominal, sendo que 11% a 37% têm hérnias incisionais pós-operatórias após uma cirurgia abdominal.[267] O aumento da tela durante o fechamento da incisão para reparo aberto do aneurisma de aorta abdominal pode ajudar a reduzir a ocorrência de hérnias incisionais.[2][267]
O uso deste conteúdo está sujeito ao nosso aviso legal