კვლევები
1-ად შესაკვეთი გამოკვლევები
FBC
ტესტი
ყველა პაციენტს უნდა ჰქონდეს FBC საწყისი გამოლინებისას.[58][59]
ანემია; ლეიკოციტოზი; შეიძლება იყოს თრომბოციტოზი ანემია შეიძლება განვითარდეს ქრონიკული ანთების, სისხლის ქრონიკული კარგვის, რკინის ცუდი შეწოვის და/ან B12ის ან ფოლიუმის მჟავის ცუდი შეწოვის შედეგად.
ლეიკოციტოზი დაკავშირებულია მწვავე ან ქრონიკულ ანთებასთან, აბსცესთან ან კორტიკოსტეროიდებით მკურნალობასთან.
თრომბოციტოზი აქტიური ანთების მარკერია.
შედეგი
უვეიტი, ეპისკლერიტი). სისხლის საერთო ანალიზი
რკინის განსაზღვრა (სისხლის შრატის რკინა, სისხლის შრატის ფერიტინი, რკინის სავალდებულო მოცულობა, ტრანსფერინის გაჯერებულობა)
ტესტი
პაციენტებს უნდა ჩაუტარდეთ სისხლის შრატის რკინის კვლევა.[59][60]
ნაწლავის ანთებითი დაავადების მქონე პაციენტებმა, რომლებიც არასრულფასოვნად იკვებებიან ან მალნუტრიციის რისკის ქვეშ არიან, უნდა გაიარონ შესაბამისი სკრინინგული სისხლის ტესტები მაკრონუტრიენტებისა და მიკროელემენტების დეფიციტის შესაფასებლად.[58]
რკინის დეფიციტი შეიძლება ასოცირებული იყოს კუჭ-ნაწლავის სისხლდენასთან ან რკინის მალაბსორბციასთან.
შედეგი
ნორმალურია ან შეიძლება იყოს ცვლილებები რკინის დეფიციტთან დაკავშირებით
შრატში ვიტამინი B12
ტესტი
უნდა შემოწმდეს B12 დონე.[58]
დეფიციტი შეიძლება განვითარებული იყოს მალაბსორბციის შედეგად. ნაწლავის ანთებითი დაავადების მქონე პაციენტებმა, რომლებიც არასრულფასოვნად იკვებებიან ან მალნუტრიციის რისკის ქვეშ არიან, უნდა გაიარონ შესაბამისი სკრინინგული სისხლის ტესტები მაკრონუტრიენტებისა და მიკროელემენტების დეფიციტის შესაფასებლად.[58]
დეფიციტი ყველაზე ხშირადაა ილეოცეკალური კრონის დაავადებისას და პოსტ ილეოცეკალური რეზექციისას.
შედეგი
შეიძლება იყოს ნორმალური ან დაბალი
შრატში ფოლიუმის მჟავა
ტესტი
უნდა შემოწმდეს შრატში ფოლიუმის მჟავას დონე.[58]
დეფიციტი შეიძლება განვითარებული იყოს მალაბსორბციის შედეგად. ნაწლავის ანთებითი დაავადების მქონე პაციენტებმა, რომლებიც არასრულფასოვნად იკვებებიან ან მალნუტრიციის რისკის ქვეშ არიან, უნდა გაიარონ შესაბამისი სკრინინგული სისხლის ტესტები მაკრონუტრიენტებისა და მიკროელემენტების დეფიციტის შესაფასებლად.[58]
შედეგი
შეიძლება იყოს ნორმალური ან დაბალი
მეტაბოლური პანელი (სისხლის ბიოქიმიური ანალიზი)
ტესტი
ყველა პაციენტს უნდა ჰქონდეს CMP საწყისი გამოვლინებისას.
ჰიპომაგნიემია და ჰიპოფოსფატემია შეიძლება გამოწვეული იყოს დიარეით და ჰიპოპროთრომბინემია შეიძლება ასახავდეს K ვიტამინის დეფიციტს.
შედეგი
ჰიპოალბუმინემია, ჰიპოქოლესტეროლემია, ჰიპოკალცემია
C-რეაქტიული ცილა (CRP) ან ერითროციტების დალექვის სიჩქარე (ESR)
განავლის შეფასება
ტესტი
Clostridium difficile ტოქსინზე ტესტირება ნაჩვენებია განსაკუთრებით იმ შემთხვევაში, თუ გვაქვს ანტიბიოტიკების ბოლოდროინდელი გამოყენების ანამნეზი, რადგან C difficile ინფექცია დაკავშირებულია ხანმოკლე და ხანგრძლივ სიკვდილიანობასთან ნაწლავის ანთებითი დაავადების მქონე პაციენტებში.[61]
შედეგი
მიკროსკოპისას ან კულტურის გამოკვლევისას არ არის ინფექციური ელემენტები
იერსინია ენტეროკოლიტიკა სეროლოგია
ტესტი
მნიშვნელოვანია რომ გამოირიცხოს იერსინია ენტეროკოლიტიკანაწლავის პათოგენი, რომელიც იწვევს მწვავე ილეიტისს.[62]
შედეგი
ნეგატიური
მუცლის ღრუს სერიული რენტგენი
ტესტი
მუცლის ღრუს რენდგენი უნდა იყოს საწყისი გამოკვლევების შემადგენელი ნაწილი. არ არის კრონის დაავადების სადიაგნოსტიკო ტესტი, მაგრამ დამხმარეა დაავადების სიმძიმის შესაფასებლად. შეიძლება შესამჩნევი იყოს ნაწლავის გაფართოება და პნევმოპერიტონეუმი.
შედეგი
წვრილი ნაწლავის ან მსხვილი ნაწლავის დილატაცია; კალციფიკაცია; საკროილიიტი; ინტრა აბდომინალური აბსცესები
მუცლის / მენჯის ღრუს მრტ
ტესტი
პაციენტები, რომელთაც შეუძლიათ ორალური კონტრასტის ატანა, არიან CT ენტეროგრაფიის ან მაგნიტურ-რეზონანსული (MR) ენტეროგრაფიის კანდიდატები.[63] MR ენტეროგრაფიის მახასიათებლები (მგრძნობელობა 77% - 82%, სპეციფიკა 80% 100%) მსგავსია CT ენტეროგრაფიისა, მაგრამ ხელმისაწვდომობა შეიძლება იყოს შეზღუდული.[63]
გაიდლაინებით სავარუდოა, რომ MR ენტეროგრაფია უნდა იყოს არჩევითი ტესტი, ვინაიდან მას არ აქვს პაციენტზე მაიონებელი გამოსხივების ზემოქმედება.[58][59][64][Figure caption and citation for the preceding image starts]: კომპიუტერულ ტომოგრაფიაზე აღინიშნება თეძოს ნაწლავის ტერმინალური ნაწილის გასქელება იმ პაციენტებში,რომელთაც აქვთ კრონის დაავადების გამწვავება.Provided by Drs Wissam Bleibel, Bishal Mainali, Chandrashekhar Thukral, and Mark A. Peppercorn, the previous authors of this topic [Citation ends].
[Figure caption and citation for the preceding image starts]: კომპიუტერულ ტომოგრაფიაზე აღინიშნება თეძოს ნაწლავის ტერმინალური ნაწილის გასქელება იმ პაციენტებში,რომელთაც აქვთ კრონის დაავადების გამწვავება.Provided by Drs Wissam Bleibel, Bishal Mainali, Chandrashekhar Thukral, and Mark A. Peppercorn, the previous authors of this topic [Citation ends].
შედეგი
გამოტოვებითი დაზიანება, ნაწლავის კედლის გასქელება, შემოსაზღვრული ანთებითი პროცესი, აბსცესი, ფისტულა
მუცლის კომპიუტერული ტომოგრაფიით
ტესტი
პაციენტები, რომელთაც შეუძლიათ ორალური კონტრასტის ატანა, არიან CT ენტეროგრაფიის ან მაგნიტურ-რეზონანსული (MR) ენტეროგრაფიის კანდიდატები.[63] CT ენტეროგრაფია მგრძნობიარეა (75%-დან 90%-მდე) და შეუძლია შეაფასოს ალტერნატიული დიაგნოზი და CD-ის პოტენციური გართულებები (მაგ., ობსტრუქცია, აბსცესი, ფისტულა).[63]
გაიდლაინებით სავარუდოა, რომ MR ენტეროგრაფია უნდა იყოს არჩევითი ტესტი, ვინაიდან მას არ აქვს პაციენტზე მაიონებელი გამოსხივების ზემოქმედება.[58][59][64][Figure caption and citation for the preceding image starts]: კომპიუტერულ ტომოგრაფიაზე აღინიშნება თეძოს ნაწლავის ტერმინალური ნაწილის გასქელება იმ პაციენტებში,რომელთაც აქვთ კრონის დაავადების გამწვავება.Provided by Drs Wissam Bleibel, Bishal Mainali, Chandrashekhar Thukral, and Mark A. Peppercorn, the previous authors of this topic [Citation ends].
[Figure caption and citation for the preceding image starts]: კომპიუტერულ ტომოგრაფიაზე აღინიშნება თეძოს ნაწლავის ტერმინალური ნაწილის გასქელება იმ პაციენტებში,რომელთაც აქვთ კრონის დაავადების გამწვავება.Provided by Drs Wissam Bleibel, Bishal Mainali, Chandrashekhar Thukral, and Mark A. Peppercorn, the previous authors of this topic [Citation ends].
შედეგი
გამოტოვებითი დაზიანება, ნაწლავის კედლის გასქელება, შემოსაზღვრული ანთებითი პროცესი, აბსცესი, ფისტულა
გასათვალისწინებელი კვლევები
მუცლის ღრუსა და მენჯის ღრუს ულტრასონოგრაფია
ტესტი
შეიძლება განხილულ იყოს მუცლისა და მენჯის ულტრაბგერა.[58][59][63]
მგრძნობელობა და სპეციფიკურობა მერყეობს 75%-დან 94%-მდე და 67%-დან 100%-მდე.[63] ულტრაბგერით შეიძლება გამოვლინდეს ექსტრამურული გართულებები, სტენოზური სტრიქტურები და ხელშემწყობია შეფასებისა და დაავადების მიმდინარეობის მონიტორინგისათვის.[59][66]
სიმსუქნემ (მწვავე მძიმე პაციენტებშ) შეიძლება გამორიცხოს ულტრაბგერის კაბელის ადეკვატური შეკუმშვა.
ულტრაბგერა შეიძლება არ იყოს ისეთი ეფექტური, როგორც CT ან მაგნიტურ-რეზონანსული მეთოდები ალტერნატიული ეტიოლოგიის დასადგენად.[63]
შედეგი
ნაწლავის კედლის გასქელება, შემოსაზღვრული ანთება, აბსცესი; ტუბოოვარიალური აბსცესი
ილეოკოლონოსკოპია
ტესტი
ილეოკოლონოსკოპია და ვიზუალიზაციური კვლევები დამატებითია CD-ის დიაგნოსტირებისთვის.[58][59][63]
ლორწოვანი გარსის ცვლილებები, რომლებიც მიუთითებს CD-ზე, მოიცავს ლორწოვანის კვანძოვანობას, ერითემას, შეშუპებას, წყლულებს, გახეთქვას, სტენოზის და ფისტულოზური ტრაქტის გახსნის იდენტიფიცირებას.[59]
დაზიანებები წყვეტილია, ნაწლავის ნორმალური გარეგნობის წყვეტილი უბნებით (გამოტოვებული დაზიანებები).[Figure caption and citation for the preceding image starts]: კრონის ილეიტის ენდოსკოპიური სურათიProvided by Drs Wissam Bleibel, Bishal Mainali, Chandrashekhar Thukral, and Mark A. Peppercorn, the previous authors of this topic [Citation ends].
ნორმალური სწორი ნაწლავის მტკიცებულება და ტერმინალური ილეუმის იზოლირებული ჩართულობა დიაგნოზზე მიმანიშნებელია.
შედეგი
აფთოზური წყლულები, ჰიპერემია, ედემა, ქვაფენილის მსგავსი შესახედაობა, გამოტოვებული დაზიანებები
ქსოვილის ბიოფსია
ტესტი
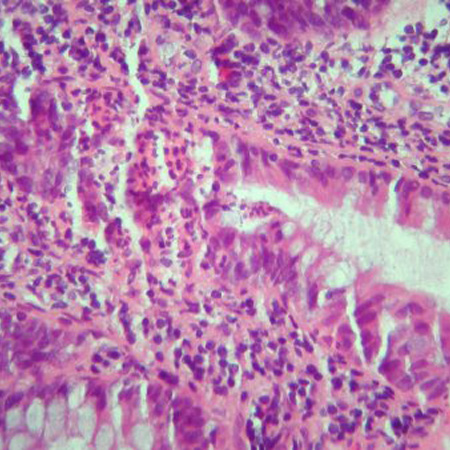
მსხვილი ნაწლავის და ნაწლავის სეგმენტური ბიოფსიები უნდა იქნას მიღებული CD-ის მიკროსკოპული მტკიცებულების შესაფასებლად.[58] მიკროსკოპული მახასიათებლები, რომლებიც დამხმარეა წყლულოვანი კოლიტისა და CD-ს დიფერენცირებისათვს, მოიცავს გრანულომას, არქიტექტურულ ცვლილებას და დაავადების გავრცელებას.[67] თუმცა, გრანულომატოზური ანთება დაფიქსირდა CD-ით დაავადებულთა უმცირესობაში (30%-50%); ეს არ არის საჭირო დიაგნოსტიკისთვის.[59][67][Figure caption and citation for the preceding image starts]: მსხვილი ნაწლავის კედლის ანთება, ლორწოვანის გაფართოება და სუბმუკოზაში მასიური ლიმფოიდური აგრეგატები.Provided by Drs Wissam Bleibel, Bishal Mainali, Chandrashekhar Thukral, and Mark A. Peppercorn, the previous authors of this topic [Citation ends].
[Figure caption and citation for the preceding image starts]: კრონის დაავადების მქონე პაციენტებში გრანულომები: აღსანიშნავია ეპითელური ჰისტოციტების აგრეგაციაProvided by Drs Wissam Bleibel, Bishal Mainali, Chandrashekhar Thukral, and Mark A. Peppercorn, the previous authors of this topic [Citation ends].
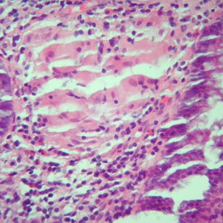
[Figure caption and citation for the preceding image starts]: კრიპტიტი და კრიპტის აბსცესი კრიპტის მორფოლოგიური დეფორმირებით, რომელსაც თან ახლავს ანთება და დიდი ოდენობით ლიმფური და პლაზმური უჯრედები.Provided by Drs Wissam Bleibel, Bishal Mainali, Chandrashekhar Thukral, and Mark A. Peppercorn, the previous authors of this topic [Citation ends].
[Figure caption and citation for the preceding image starts]: კრიპტიტი და კრიპტის აბსცესი კრიპტის მორფოლოგიური დეფორმირებით, რომელსაც თან ახლავს ანთება და დიდი ოდენობით ლიმფური და პლაზმური უჯრედები.Provided by Drs Wissam Bleibel, Bishal Mainali, Chandrashekhar Thukral, and Mark A. Peppercorn, the previous authors of this topic [Citation ends].
არაჩვეულებრივი ლორწოვანი გარსის ბიოფსია ხელს უწყობს ჰისტოლოგიური დაავადების მასშტაბის იდენტიფიცირებას.[59] თუ ტუბერკულოზი განიხილება, უნდა მოხდეს ილიოცეკალური ქსოვილის ბიოფსია, რათა შემოწმდეს ტუბერკულოზის მიკობაქტერია.[56]
შედეგი
ნაწლავის ლორწოს ბიოფსიისას არის არაკაზეოზური გრანულომების ტრანსმურალური ჩართულობა.
ეზოფაგოგასტროდუოდენოსკოპია
ტესტი
ეზოფაგოგასტროდუოდენოსკოპია (ზედა კუჭ-ნაწლავის [GI] ენდოსკოპია) ჩვეულებრივ არ არის საჭირო, როგორც დიაგნოსტიკური შეფასების ნაწილი, მაგრამ შეიძლება ჩატარდეს პაციენტებში კუჭ-ნაწლავის ტრაქტის ზედა ნწილის ნიშნებისა და სიმპტომების შემთხვევაში.[58][59]
ეზოფაგოგასტროდუოდენოსკოპია ბიოფსიასთან ერთად დამხმარეა რათა მოხდეს კრონის დაავადების პეპტიკური წყლულისგან გარჩევა, იმ პაციენტებში,რომელთაც აქვთ ზედა გასტროინტესტინალური ტრაქტის სიმპტომები.
შედეგი
აფთოზური წყლულები; ლორწოვანის ანთება
უკაბელო კაფსულის ენდოსკოპია
ტესტი
კაფსულური ენდოსკოპია ჩვეულებრივ დაჯავშნილია პაციენტებისთვის, რომელთაც აქვთ ნორმალური ან ორაზროვანი რადიოლოგიური გამოსახულებითი გამოკვლევები, რომლებშიც არსებობს დაავადების ეჭვის მაღალი მაჩვენებელი.[58][59]
ვიზუალიზდება წვრილი ნაწლავი და შეიძლება გამოჩნდეს ისეთი დაზიანებ,ა რაც მიუთითებს დაავადებაზე და რომელიც არ არის ხილული წვრილი ნაწლავის სხვა გამოკვლევის მეთოდებით. კაფსულური ენდოსკოპია შეიძლება გამოყენებულ იქნას შერჩეულ პაციენტებში ლორწოვანის შეხორცების და პოსტოპერაციული რეციდივის მონიტორინგისთვის.[80] ეს არის უსაფრთხო და სასარგებლო გამოკვლევა ბავშვებში.
კაფსულის გამტარიანობის შეფასება რეკომენდებულია ენდოსკოპიის წინ, კაფსულის შეკავების რისკის შესამცირებლად.[59] კაფსულური ენდოსკოპია უკუნაჩვენებია პაციენტებში წვრილი ნაწლავის სტრიქტურით ან სტენოზით.[81]
შედეგი
აფთოზური წყლულები, ჰიპერემია, ედემა, ქვაფენილის მსგავსი შესახედაობა, გამოტოვებული დაზიანებები
ფეკალური კალპროტექტინისა და ფეკალური ლაქტოფერინის შეფასების ტესტი.
ტესტი
ნაწლავის ანთების არაინვაზიური მარკერები.[68][69][70][71] ფეკალური კალპროტექტინი და ფეკალური ლაქტოფერინი გამოიყოფა განავალში, როდესაც ნეიტროფილები გროვდება კუჭ-ნაწლავის ტრაქტის ანთების ნებისმიერ ადგილზე.
ფეკალური კალპროტექტინი ხელს უწყობს ნაწლავის ანთებითი დაავადების დიფერენცირებას გაღიზიანებული ნაწლავის სინდრომისგან.[59] ფეკალური კალპროტექტინი და ფეკალური ლაქტოფერინი არ არის სპეციფიკური CD-სთვის და შეიძლება გაიზარდოს განავალში ნაწლავის სხვა პათოლოგიების დროს (მაგ., ინფექციური ენტერიტი, კოლორექტალური ნეოპლაზია).[59] ეს სპეციფიკის ნაკლებობა ზღუდავს მათ დიაგნოსტიკურ როლს.
ფეკალური კალპროტექტინი ფართოდ გამოიყენება, განსაკუთრებით პირველადი ჯანდაცვის რგოლში, როგორც რეციდივის მარკერი ნაწლავის წყნარი ანთებითი დაავადების მქონე პაციენტებში და დაავადების აქტივობის გამოვლენისა და მონიტორინგისთვის სიმპტომურ პაციენტებში, ინვაზიური და რესურს-ინტენსიური ენდოსკოპიური მონიტორინგის პოტენციურად თავიდან აცილების მიზნით.[58][72][73][74]
შედეგი
შეიძლება მომატებული იყოს
ახალი ტესტები
სეროლოგიური მარკერები
ტესტი
კვლევა ფოკუსირებულია ანტიგლიკანის ანტისხეულებზე (მაგ., ანტი-საქარომიცეს ცერევიზია [ASCA], ანტი-ლამინარიბიოზი [ALCA], ანტი-ქიტობიოზიდი [ACCA], ანტი-ლამინარინი [ანტი-L], ანტი-ქიტინი [ანტი-C] ) და ანტისხეულები მიკრობული ანტიგენების მიმართ (გარე მემბრანის საწინააღმდეგო პორინი C [ანტი-OmpC], ანტი-Cbir1 ფლაგელინი, ანტი-I2 და p-ANCA).[59]
ანტიგლიკანური ანტისხეულები უფრო ხშირია CD-ში, ვიდრე წყლულოვანი კოლიტის დროს, მაგრამ აქვს დაბალი მგრძნობელობა.[59]
არ არის რეკომენდებული ნაწლავის ანთებითი დაავადების სეროლოგიური მარკერების რუტინული გამოყენება CD-ის დიაგნოზის დასადგენად.[59]
ASCA შეიძლება ჰქონდეს პროგნოზული მნიშვნელობა CD-ით დაავადებულ ბავშვებში.[82][83]
შედეგი
დადებითი ანტიგლიკანური ანტისხეულები
ამ მასალის გამოყენება ექვემდებარება ჩვენს განცხადებას