გართულებები
ენდეთ მითითებებს
ebpracticenet პრიორიტეტი მიანიჭეთ ჩამოთვლილ ადგილობრივ გაიდლაინებს:
Guide de pratique clinique sur la prise en charge de l’otite moyenne aiguëავტორი: Groupe de Travail Développement de recommmandations de première ligneბოლო გამოქვეყნება: 2022Richtlijnen voor de aanpak van acute otitis media in de eerste lijnავტორი: Werkgroep Ontwikkeling Richtlijnen Eerste Lijn (Worel)ბოლო გამოქვეყნება: 2022ზოგჯერ დაფის აპკზე AOM-ის ეპიზოდის დროს ვითარდება ბულები. ბულოზური კერები ჩანს ოტოსკოპიით.[Figure caption and citation for the preceding image starts]: ბულოზური მენინგიტის ოტოსკოპიური სურათიექიმი არმენგოლის პირადი კოლექციიდან [Citation ends].
ბულები გაიწოვება ფონური ინფექციის ანტიბიოტიკოთერაპიის შედეგად.
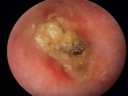
შეიძლება განვითარდეს დაფის აპკის პერფორაცია. ოტოსკოპიით ჩანს დაზიანებული მხარის ჩირქოვანი ოტორეა.[Figure caption and citation for the preceding image starts]: ჩირქოვანი ოტორეა, რაც მიუთითებს დაფის აპკის გარღვევაზეექიმი არმენგოლის პირადი კოლექციიდან [Citation ends].
ჩირქოვანი AOM-ის შედეგად განვითარებულ სპონატურ ოტორეას მკურნალობენ ანტიბიოტიკებით. პერფორაცია ჩვეულებრივ სწრაფად ხორცდება.
მასტოიდიტი ძალიან იშვიათად გვხვდება.[52] ეს გართულება ვითარდება, როცა შუა ყურის ბაქტერიული ანთება გადადის დვრილისებრ მორჩზე, რომელიც ესაზღვრება შუა ყურს. მასტოიდიტი კარგად რეაგირებს პარენტერალურ ანტიბიოტიკებზე; ზოგიერთ პაციენტს შეიძლება დასჭირდეს ოტოლარინგოლოგთან გადამისამართება.
პაციენტების 50%-ს ხანგრძლივად ექნება სითხე შუა ყურში, რომელსაც ეწოდება შუა ყურის ექსუდაციური ანთება.[Figure caption and citation for the preceding image starts]: შუა ყურის ექსუდაციური ანთება აირი-სითხის დონეებით ან ბუშტუკებით და დაფის აპკის ნორმალური ნიშნებითექიმი არმენგოლის პირადი კოლექციიდან [Citation ends].
ამ დაავადებამ შეიძლება გამოიწვიოს სმენის გარდამავალი დაქვეითება, თუმცა ზოგადად ის ასიმპტომურია და არ მოითხოვს არც რუტინულ დაკვირვებას და არც მკურნალობას.[53]
მაშინ როცა დაფის აპკის მწვავე პერფორაცია ბუნებრივად თან სდევს AOM-ის ეპიზოდების მნიშვნელოვან რაოდენობას, ქრონიკული პერფორაცია, რომელიც 3 თვის მანძილზე ვერ ხორცდება, ნაკლებ სავარაუდოა, რომ თავისით განიკურნოს.[52][Figure caption and citation for the preceding image starts]: ქრონიკულად პერფორირებული დაფის აპკის ოტოსკოპიური სურათიექიმი არმენგოლის პირადი კოლექციიდან [Citation ends].
ამ მასალის გამოყენება ექვემდებარება ჩვენს განცხადებას