Imágenes y vídeos
Imágenes

Tuberculosis extrapulmonar
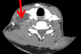
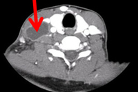
TC donde se observa un ganglio linfático cervical necrótico
De la colección de Dr David J. Horne y Dr Masahiro Narita; usado con permiso
Ver esta imagen en el contexto de la/s siguiente/s sección/es:

Tuberculosis extrapulmonar
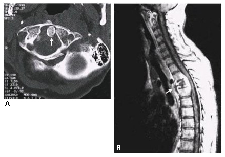
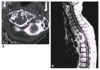
TC donde se observa TB espinal (enfermedad de Pott)
Massachusetts Medical Society; reproducido con permiso de N Engl J Med. 2002;347:1849; usado con permiso
Ver esta imagen en el contexto de la/s siguiente/s sección/es:
Vídeos
- Punción lumbar diagnóstica en adultos: demostración animada
Cómo realizar una punción lumbar diagnóstica en adultos. Incluye un debate sobre la colocación del paciente, la elección de la aguja y la medición de la presión de apertura y cierre.
- Demostración animada de paracentesis abdominal
Demuestra cómo realizar la paracentesis abdominal diagnóstica y terapéutica.
- Demostración animada de la técnica de inserción de drenaje intercostal Seldinger
Cómo insertar un drenaje intercostal (torácico) mediante la técnica de Seldinger. El vídeo muestra: cómo identificar un lugar seguro para la inserción; el uso de una aguja introductora, una guía, dilatadores y un drenaje intercostal; cómo confirmar la posición del drenaje; y los cuidados posteriores al procedimiento.
El uso de este contenido está sujeto a nuestra cláusula de exención de responsabilidad