Images and videos
Images

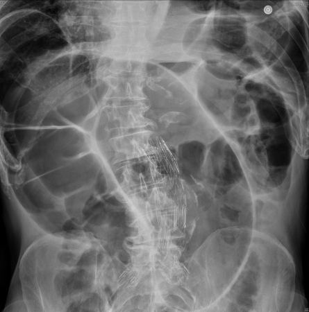
Large bowel obstruction
Abdominal radiograph showing dilated large bowel loops. Typical "coffee bean" sign seen for sigmoid volvulus
Roy SP, Tay YK, Kozman D. Very rare case of synchronous volvulus of the sigmoid colon and caecum causing large-bowel obstruction. BMJ Case Rep. 2019 Jan 28;12(1):bcr-2018-227375; used with permission
See this image in context in the following section/s:

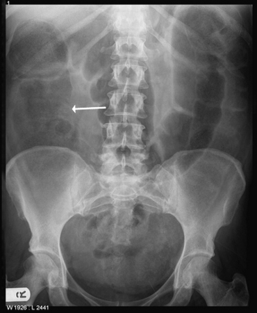
Large bowel obstruction
Large bowel obstruction. Plain radiograph showing distended large bowel loops. Note grossly dilated caecum (white arrow)
Musson RE, Bickle I, Vijay RKP, et al. Gas patterns on plain abdominal radiographs: a pictorial review. Postgrad Med J. 2011 Apr;87(1026):274-87; used with permission
See this image in context in the following section/s:
Videos
- Venepuncture and phlebotomy: animated demonstration
How to take a venous blood sample from the antecubital fossa using a vacuum needle.
- Central venous catheter insertion: animated demonstration
Ultrasound-guided insertion of a non-tunnelled central venous catheter (CVC) into the right internal jugular vein using the Seldinger insertion technique.
- Peripheral intravascular catheter: animated demonstration
How to insert a peripheral intravascular catheter into the dorsum of the hand.
- Female urethral catheterization: animated demonstration
How to insert a urethral catheter in a female patient using sterile technique.
- Male urethral catheterization: animated demonstration
How to insert a urethral catheter in a male patient using sterile technique.
- Nasogastric tube insertion animated demonstration
How to insert a fine bore nasogastric tube for feeding.
Use of this content is subject to our disclaimer