Complications
Ulceration, haemorrhage, or rarely perforation may occur in people with GORD.[126]
Healing of oesophageal damage in GORD involves collagen deposition. Contraction of the distal oesophagus occurs, causing stricture formation.
Often associated with dysphagia for solid food.[69]
White men >50 years at highest risk; risk increases with positive smoking history or hiatus hernia.
However, about 6% of people upon healing of Los Angeles C or D oesophagitis develop Barrett's oesophagus (or have unmasking of disease).[3]
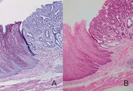
Evidence is conflicting as to whether frequency and severity of symptoms can predict Barrett's oesophagus, severity of oesophagitis, or other complications.[Figure caption and citation for the preceding image starts]: Barrett's segment lined by gastric-type epithelium without intestinal metaplasia in the form of goblet cells (magnification ×100). (A) Mucin staining using Alcian Blue-Periodic Acid Schiff showing neutral magenta colour (mucin of gastric epithelial type); (B) H&E staining reveals a Barrett’s oesophagus segment lined by gastric-type epithelium without intestinal metaplasia but with features of high-grade dysplasiaLieberman ELB, Lao-Sirieix P, Saeed I, et al. The definition and management of Barrett’s oesophagus: a case report, review of the literature and a suggestion for the future. BMJ Case Reports. 2009; doi:10.1136/bcr.07.2008.0450 [Citation ends].
A rare complication but the prognosis is poor.
The risk for adenocarcinoma rises to about 0.5% a year in the setting of Barrett's oesophagus.[3][Figure caption and citation for the preceding image starts]: Upper gastrointestinal endoscopy revealing a fistula related to oesophageal carcinoma (arrow)Wang S-C, Tseng J-C, Lee R-M, et al. Tracheo-oesophageal fistula in a patient with oesophageal squamous cell carcinoma. BMJ Case Reports. 2009; doi:10.1136/bcr.09.2008.0865 [Citation ends].
Use of this content is subject to our disclaimer