Images and videos
Images

Infertility in women
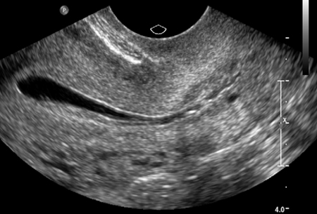
Saline infusion ultrasound with polyp
From the collection of Dr Jared C. Robins
See this image in context in the following section/s:

Infertility in women
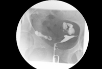
Normal hysterosalpingography (HSG)
From the collection of Dr Jared C. Robins
See this image in context in the following section/s:

Infertility in women
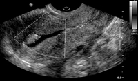
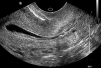
Normal saline infusion ultrasound
From the collection of Dr Jared C. Robins
See this image in context in the following section/s:

Infertility in women
Hysterosalpingography (HSG) demonstrating bilateral hydrosalpinges
From the collection of Dr Jared C. Robins
See this image in context in the following section/s:
Use of this content is subject to our disclaimer