Summary
Definition
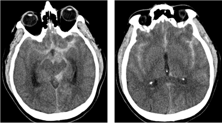
History and exam
Key diagnostic factors
- severe sudden-onset headache
- depressed consciousness/loss of consciousness
- neck stiffness and muscle aches (meningismus)
- presence of risk factors
- eyelid drooping, diplopia with mydriasis, orbital pain
Other diagnostic factors
- photophobia
- nausea/vomiting
- confusion
- history of sentinel headaches
- seizures
- diplopia
- visual loss
- agitation
- focal neurological deficits
Risk factors
- hypertension
- smoking
- family history
- autosomal dominant polycystic kidney disease (ADPKD)
- alcohol use
- cocaine use
- Marfan syndrome
- Ehlers-Danlos syndrome
- pseudoxanthoma elasticum
- neurofibromatosis type I
- Exposure to adrenergic or serotonergic drugs
Diagnostic investigations
1st investigations to order
- non-contrast CT head
- MRI
- FBC
- serum electrolytes
- clotting profile
- troponin I
- serum glucose
- ECG
Investigations to consider
- lumbar puncture (LP)
- computed tomography angiography (CTA)
- digital subtraction angiography (DSA) or magnetic resonance angiography (MRA)
- electroencephalogram (EEG)
Treatment algorithm
Contributors
Expert advisers
Matthew Jones
Consultant Neurologist
Greater Manchester Neurosciences Centre
Salford Royal Foundation Trust
Honorary Senior Lecturer
University of Manchester
Manchester
UK
Disclosures
MJ is the chair of the Association of British Neurologists Education Committee (unpaid position). MJ is a faculty member of an MRCP revision course. MJ has received honoraria from Eisai for educational talks.
Rachael Power, MBChB, MRCP
Neurology Registrar
Manchester Centre for Clinical Neurosciences
Manchester
UK
Disclosures
RP declares that she has no competing interests.
Acknowledgements
BMJ Best Practice would like to gratefully acknowledge the previous expert contributor, whose work has been retained in parts of the content:
Salah Keyrouz MD, FAHA
Associate Professor
Neurology and Neurosurgery
Washington University School of Medicine
St. Louis
MO
Disclosures
SK is an author of a reference cited in this topic.
Peer reviewers
Tim Harris
Professor of Emergency Medicine
Barts Health NHS Trust
London
UK
Disclosures
Diederik Bulters
Consultant Neurosurgeon
University Hospital Southampton NHS Foundation Trust
Southampton
Hampshire
UK
Disclosures
DB is the chief investigator for the 'SFX-01 after SAH' trial sponsored by Evgen Pharma. He receives no payment from and has no financial interest in Evgen Pharma.
Nicholas Borg
Registrar
University Hospital Southampton NHS Foundation Trust
Southampton
Hampshire
UK
Disclosures
NB declares that he has no competing interests.
Peer reviewer acknowledgements
BMJ Best Practice topics are updated on a rolling basis in line with developments in evidence and guidance. The peer reviewers listed here have reviewed the content at least once during the history of the topic.
Disclosures
Peer reviewer affiliations and disclosures pertain to the time of the review.
References
Key articles
National Institute for Health and Care Excellence. Subarachnoid haemorrhage caused by a ruptured aneurysm: diagnosis and management. Nov 2022 [internet publication].Full text
Royal College of Physicians. National clinical guideline for stroke for the United Kingdom and Ireland. 2023 [internet publication].Full text
Steiner T, Juvela S, Unterberg A, et al. European Stroke Organization guidelines for the management of intracranial aneurysms and subarachnoid haemorrhage. Cerebrovasc Dis. 2013;35(2):93-112.Full text Abstract
Cruickshank A, Auld P, Beetham R, et al; UK NEQAS Specialist Advisory Group for EQA of CSF Proteins and Biochemistry. Revised national guidelines for analysis of cerebrospinal fluid for bilirubin in suspected subarachnoid haemorrhage. Ann Clin Biochem. 2008 May;45(Pt 3):238-44.Full text Abstract
Reference articles
A full list of sources referenced in this topic is available here.
Use of this content is subject to our disclaimer
