Images and videos
Images

Stevens-Johnson syndrome and toxic epidermal necrolysis
Stevens-Johnson syndrome: targetoid lesions and epidermal loss
From the personal collection of Dr A. Kowal-Vern
See this image in context in the following section/s:

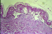
Stevens-Johnson syndrome and toxic epidermal necrolysis
Histopathology of SJS/TEN
From the personal collection of Dr A. Kowal-Vern
See this image in context in the following section/s:

Stevens-Johnson syndrome and toxic epidermal necrolysis
Stevens-Johnson Syndrome: epidermal loss on soles of feet
From the personal collection of Dr A. Kowal-Vern
See this image in context in the following section/s:

Stevens-Johnson syndrome and toxic epidermal necrolysis
Rule of nines
From Dr Sheridan's personal collection
See this image in context in the following section/s:

Stevens-Johnson syndrome and toxic epidermal necrolysis
Lund-Browder diagram
From Dr Sheridan's personal collection
See this image in context in the following section/s:
Use of this content is subject to our disclaimer