Diagnosis is primarily based on the history and physical exam. There is usually no need for further investigations unless there are complications present. In most cases the diagnosis is made presumptively. Complications, although rare, are more common in children.
History
Key risk factors include allergic rhinitis or a recent history of viral upper respiratory tract infection. Asthma may be exacerbated by acute rhinosinusitis.
Important factors in differentiating viral from bacterial rhinosinusitis are the overall symptom duration and the symptom trajectory. Symptoms of viral infection tend to peak early and gradually resolve.[1]Rosenfeld RM, Piccirillo JF, Chandrasekhar SS, et al. Clinical practice guideline (update): adult sinusitis. Otolaryngol Head Neck Surg. 2015 Apr;152(2 Suppl):S1-39.
https://journals.sagepub.com/doi/full/10.1177/0194599815572097
http://www.ncbi.nlm.nih.gov/pubmed/25832968?tool=bestpractice.com
[4]Fokkens WJ, Lund VJ, Hopkins C, et al. European position paper on rhinosinusitis and nasal polyps 2020. Rhinology. 2020 Feb 20;58(suppl s29):1-464.
https://www.rhinologyjournal.com/Documents/Supplements/supplement_29.pdf
http://www.ncbi.nlm.nih.gov/pubmed/32077450?tool=bestpractice.com
[17]Meltzer EO, Hamilos DL, Hadley JA, et al; Rhinosinusitis Initiative. Rhinosinusitis: developing guidance for clinical trials. Otolaryngol Head Neck Surg. 2006 Nov;135(5 Suppl):S31-80.
http://www.ncbi.nlm.nih.gov/pubmed/17081855?tool=bestpractice.com
Thus symptoms present for less than 10 days indicate a viral infection, whereas symptoms present for more than 10 days, without an improvement, suggest a bacterial infection.[1]Rosenfeld RM, Piccirillo JF, Chandrasekhar SS, et al. Clinical practice guideline (update): adult sinusitis. Otolaryngol Head Neck Surg. 2015 Apr;152(2 Suppl):S1-39.
https://journals.sagepub.com/doi/full/10.1177/0194599815572097
http://www.ncbi.nlm.nih.gov/pubmed/25832968?tool=bestpractice.com
[3]Peters AT, Spector S, Hsu J, et al. Diagnosis and management of rhinosinusitis: a practice parameter update. Ann Allergy Asthma Immunol. 2014 Oct;113(4):347-85.
https://www.aaaai.org/Aaaai/media/Media-Library-PDFs/Allergist%20Resources/Statements%20and%20Practice%20Parameters/2014-October_Rhinosinusitis_Update-(1).pdf
Symptoms that worsen after an initial improvement (so-called "double sickening") suggest secondary bacterial infection following viral rhinosinusitis.[1]Rosenfeld RM, Piccirillo JF, Chandrasekhar SS, et al. Clinical practice guideline (update): adult sinusitis. Otolaryngol Head Neck Surg. 2015 Apr;152(2 Suppl):S1-39.
https://journals.sagepub.com/doi/full/10.1177/0194599815572097
http://www.ncbi.nlm.nih.gov/pubmed/25832968?tool=bestpractice.com
Cough is a common symptom in acute viral and bacterial rhinosinusitis.[4]Fokkens WJ, Lund VJ, Hopkins C, et al. European position paper on rhinosinusitis and nasal polyps 2020. Rhinology. 2020 Feb 20;58(suppl s29):1-464.
https://www.rhinologyjournal.com/Documents/Supplements/supplement_29.pdf
http://www.ncbi.nlm.nih.gov/pubmed/32077450?tool=bestpractice.com
Cough may occur secondary to postnasal drainage or asthma exacerbation. Other symptoms may include sore throat, hyposmia, purulent nasal discharge, and fever.
Physical exam
Exam should include a thorough head and neck exam, with particular attention paid to the presence of:
Facial tenderness to gentle palpation
Postnasal pharyngeal secretions or exudate
Tender maxillary dentition
Middle ear effusion.
The nasal cavity should be examined for the presence of mucosal erythema or purulent discharge. Optimal exam is performed after topical decongestant spray.[18]Benninger MS, Ferguson BJ, Hadley JA, et al. Adult chronic rhinosinusitis: definitions, diagnosis, epidemiology, and pathophysiology. Otolaryngol Head Neck Surg. 2003 Sep;129(3 Suppl):S1-32. Either an otoscope or a nasal speculum and head light may be used. However, because nasal exam may be difficult or the signs nonspecific, nasal endoscopy is recommended in selected patients, including patients refractory to empiric antibiotic therapy or where there is concern for antibiotic resistance, or in immunocompromised patients.
Endoscopy can provide excellent visualization of the nasal cavity and sinus drainage paths. There are two types of endoscope: rigid and flexible. A rigid nasal endoscope has superior resolution and only requires the use of one hand. This easily allows cultures of the nasal cavity or sinus to be obtained if necessary. A flexible nasal endoscope is more comfortable for patients, but requires both hands to use. There are flexible nasal endoscopes that have a channel for collecting cultures, but these tend to be larger and more uncomfortable and they are also more difficult to reprocess. Generally, the flexible nasal endoscope is preferred in children as it is better tolerated; however, either type may be used in adults and children. Choice will depend on the practitioner's familiarity with the procedure, and most will be performed by an ear, nose, and throat specialist.
Periorbital or malar edema, orbital proptosis, visual disturbances, abnormal extraocular movements, or abnormal neurologic signs may indicate the presence of complications, and urgent otolaryngology consultation is required.[Figure caption and citation for the preceding image starts]: Right inferior turbinate and septum are visible prior to decongestant sprayFrom the collection of Melissa Pynnonen, MD [Citation ends].
[Figure caption and citation for the preceding image starts]: Right middle turbinate and middle meatus are visible after decongestant sprayFrom the collection of Melissa Pynnonen, MD [Citation ends].
[Figure caption and citation for the preceding image starts]: Left middle meatus with severe edema and purulent secretionsFrom the collection of Melissa Pynnonen, MD [Citation ends].
[Figure caption and citation for the preceding image starts]: Left middle meatus with healthy mucosa and non-purulent secretionsFrom the collection of Melissa Pynnonen, MD [Citation ends].
[Figure caption and citation for the preceding image starts]: Nasal endoscopy of the left nasal cavity showing a small polyp and pus in the middle meatusFrom the collection of Joseph K. Han [Citation ends].
Investigations
Laboratory testing is of limited value in the diagnosis of acute rhinosinusitis.[19]Ebell MH, McKay B, Guilbault R, et al. Diagnosis of acute rhinosinusitis in primary care: a systematic review of test accuracy. Br J Gen Pract. 2016 Aug 1;66(650):e612-32.
https://bjgp.org/content/66/650/e612.long
http://www.ncbi.nlm.nih.gov/pubmed/27481857?tool=bestpractice.com
However, culture can be an important aid in antibiotic selection if:
The infection has been refractory to empiric antibiotic therapy
There is a concern for antibiotic resistance
The patient is immunocompromised.
The Infectious Diseases Society of America (IDSA)/American Society for Microbiology (ASM) guidelines recommend that the ideal specimens for uncomplicated acute rhinosinusitis are aspirate obtained by antral puncture or a middle meatal swab specimen obtained with endoscopic guidance.[20]Miller JM, Binnicker MJ, Campbell S, et al. Guide to utilization of the microbiology laboratory for diagnosis of infectious diseases: 2024 update by the Infectious Diseases Society of America (IDSA) and the American Society for Microbiology (ASM). Clin Infect Dis. 2024 Mar 5:ciae104.
https://academic.oup.com/cid/advance-article/doi/10.1093/cid/ciae104/7619499
http://www.ncbi.nlm.nih.gov/pubmed/38442248?tool=bestpractice.com
Endoscopic sinus culture is much less painful than sinus puncture. The two culture methods correlate well, especially when there is purulence within the middle meatus (i.e., within the sinus drainage path).[21]Young J, De Sutter A, Merenstein D, et al. Antibiotics for adults with clinically diagnosed acute rhinosinusitis: a meta-analysis of individual patient data. Lancet. 2008 Mar 15;371(9616):908-14.
http://www.ncbi.nlm.nih.gov/pubmed/18342685?tool=bestpractice.com
[22]Dubin MG, Ebert CS, Coffey CS, et al. Concordance of middle meatal swab and maxillary sinus aspirate in acute and chronic sinusitis: a meta-analysis. Am J Rhinol. 2005 Sep-Oct;19(5):462-70.
http://www.ncbi.nlm.nih.gov/pubmed/16270600?tool=bestpractice.com
Cultures taken from the nasal cavity or the nasopharynx, such as with a swab and without endoscopic visualization, are discouraged because they do not correlate with the causative pathogen.[20]Miller JM, Binnicker MJ, Campbell S, et al. Guide to utilization of the microbiology laboratory for diagnosis of infectious diseases: 2024 update by the Infectious Diseases Society of America (IDSA) and the American Society for Microbiology (ASM). Clin Infect Dis. 2024 Mar 5:ciae104.
https://academic.oup.com/cid/advance-article/doi/10.1093/cid/ciae104/7619499
http://www.ncbi.nlm.nih.gov/pubmed/38442248?tool=bestpractice.com
For complicated rhinosinusitis, aspirate obtained by antral puncture or tissue or aspirate obtained surgically can be used for bacterial or fungal culture.[20]Miller JM, Binnicker MJ, Campbell S, et al. Guide to utilization of the microbiology laboratory for diagnosis of infectious diseases: 2024 update by the Infectious Diseases Society of America (IDSA) and the American Society for Microbiology (ASM). Clin Infect Dis. 2024 Mar 5:ciae104.
https://academic.oup.com/cid/advance-article/doi/10.1093/cid/ciae104/7619499
http://www.ncbi.nlm.nih.gov/pubmed/38442248?tool=bestpractice.com
Skin or blood allergy testing (specific IgE) may be considered to rule out allergic rhinitis, particularly if there is no response to antibiotic therapy or for recurrent episodes.[1]Rosenfeld RM, Piccirillo JF, Chandrasekhar SS, et al. Clinical practice guideline (update): adult sinusitis. Otolaryngol Head Neck Surg. 2015 Apr;152(2 Suppl):S1-39.
https://journals.sagepub.com/doi/full/10.1177/0194599815572097
http://www.ncbi.nlm.nih.gov/pubmed/25832968?tool=bestpractice.com
Imaging
Radiographic studies are not recommended for routine evaluation of acute rhinosinusitis because they have not been shown to change clinical outcomes.[23]Frerichs N, Brateanu A. Rhinosinusitis and the role of imaging. Cleve Clin J Med. 2020 Jul 31;87(8):485-92.
https://www.ccjm.org/content/87/8/485
http://www.ncbi.nlm.nih.gov/pubmed/32737049?tool=bestpractice.com
[24]American College of Radiology. ACR appropriateness criteria: sinonasal disease. 2021 [internet publication].
https://acsearch.acr.org/docs/69502/Narrative
They cannot differentiate viral from bacterial rhinosinusitis.[15]Dykewicz MS, Wallace DV, Amrol DJ, et al. Rhinitis 2020: a practice parameter update. J Allergy Clin Immunol. 2020 Oct;146(4):721-67.
https://www.aaaai.org/Aaaai/media/Media-Library-PDFs/Allergist%20Resources/Statements%20and%20Practice%20Parameters/Rhinitis-2020-A-practice-parameter-update.pdf
http://www.ncbi.nlm.nih.gov/pubmed/32707227?tool=bestpractice.com
[24]American College of Radiology. ACR appropriateness criteria: sinonasal disease. 2021 [internet publication].
https://acsearch.acr.org/docs/69502/Narrative
Imaging may expose patients to radiation and intravenous contrast unnecessarily.[23]Frerichs N, Brateanu A. Rhinosinusitis and the role of imaging. Cleve Clin J Med. 2020 Jul 31;87(8):485-92.
https://www.ccjm.org/content/87/8/485
http://www.ncbi.nlm.nih.gov/pubmed/32737049?tool=bestpractice.com
Radiographic studies are recommended in certain patients, including those with complications of rhinosinusitis, such as facial cellulitis, suspected orbital infection, or intracranial infection, and those with rapidly progressing disease or suspected acute invasive fungal rhinosinusitis.[24]American College of Radiology. ACR appropriateness criteria: sinonasal disease. 2021 [internet publication].
https://acsearch.acr.org/docs/69502/Narrative
Radiographic studies are also recommended in the evaluation of patients with suspected recurrent acute or chronic rhinosinusitis.[24]American College of Radiology. ACR appropriateness criteria: sinonasal disease. 2021 [internet publication].
https://acsearch.acr.org/docs/69502/Narrative
In this setting the study may be used to confirm the diagnosis of rhinosinusitis or rule out an alternative diagnosis.[1]Rosenfeld RM, Piccirillo JF, Chandrasekhar SS, et al. Clinical practice guideline (update): adult sinusitis. Otolaryngol Head Neck Surg. 2015 Apr;152(2 Suppl):S1-39.
https://journals.sagepub.com/doi/full/10.1177/0194599815572097
http://www.ncbi.nlm.nih.gov/pubmed/25832968?tool=bestpractice.com
For further details, see Chronic rhinosinusitis without nasal polyps.
Computed tomography (CT) scan
CT scan with contrast is the imaging study of choice for acute rhinosinusitis with suspected complications.[1]Rosenfeld RM, Piccirillo JF, Chandrasekhar SS, et al. Clinical practice guideline (update): adult sinusitis. Otolaryngol Head Neck Surg. 2015 Apr;152(2 Suppl):S1-39.
https://journals.sagepub.com/doi/full/10.1177/0194599815572097
http://www.ncbi.nlm.nih.gov/pubmed/25832968?tool=bestpractice.com
[24]American College of Radiology. ACR appropriateness criteria: sinonasal disease. 2021 [internet publication].
https://acsearch.acr.org/docs/69502/Narrative
However, do not order CT scans for uncomplicated acute rhinosinusitis. This is generally diagnosed clinically and does not require confirmation with imaging.[24]American College of Radiology. ACR appropriateness criteria: sinonasal disease. 2021 [internet publication].
https://acsearch.acr.org/docs/69502/Narrative
[25]American Academy of Allergy, Asthma & Immunology. Ten things physicians and patients should question. Choosing Wisely, an initiative of the ABIM Foundation. 2021 [internet publication].
https://web.archive.org/web/20230402083712/https://www.choosingwisely.org/societies/american-academy-of-allergy-asthma-immunology
Findings consistent with, but not diagnostic of, acute rhinosinusitis include sinus opacification, air-fluid level, or marked or severe mucosal thickening.[1]Rosenfeld RM, Piccirillo JF, Chandrasekhar SS, et al. Clinical practice guideline (update): adult sinusitis. Otolaryngol Head Neck Surg. 2015 Apr;152(2 Suppl):S1-39.
https://journals.sagepub.com/doi/full/10.1177/0194599815572097
http://www.ncbi.nlm.nih.gov/pubmed/25832968?tool=bestpractice.com
[24]American College of Radiology. ACR appropriateness criteria: sinonasal disease. 2021 [internet publication].
https://acsearch.acr.org/docs/69502/Narrative
CT without contrast may be appropriate if invasive fungal rhinosinusitis is suspected or for bony evaluation and surgical planning, but it is not as useful as a contrast CT for detecting orbital and intracranial complications.[24]American College of Radiology. ACR appropriateness criteria: sinonasal disease. 2021 [internet publication].
https://acsearch.acr.org/docs/69502/Narrative
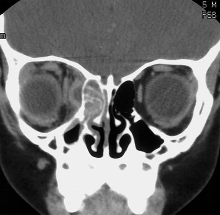
[Figure caption and citation for the preceding image starts]: Computed tomography scan with right ethmoid sinus opacification and adjacent orbital abscessFrom the collection of Melissa Pynnonen, MD [Citation ends].
Magnetic resonance imaging (MRI)
MRI with and without intravenous contrast may be useful if extrasinus complications are suspected.[1]Rosenfeld RM, Piccirillo JF, Chandrasekhar SS, et al. Clinical practice guideline (update): adult sinusitis. Otolaryngol Head Neck Surg. 2015 Apr;152(2 Suppl):S1-39.
https://journals.sagepub.com/doi/full/10.1177/0194599815572097
http://www.ncbi.nlm.nih.gov/pubmed/25832968?tool=bestpractice.com
[24]American College of Radiology. ACR appropriateness criteria: sinonasal disease. 2021 [internet publication].
https://acsearch.acr.org/docs/69502/Narrative
MRI orbits, face, and neck without and with IV contrast can confirm paranasal sinus inflammation and identify orbital and adjacent intracranial complications.[24]American College of Radiology. ACR appropriateness criteria: sinonasal disease. 2021 [internet publication].
https://acsearch.acr.org/docs/69502/Narrative
X-rays
X-rays of the sinus are not appropriate for the evaluation of rhinosinusitis with complications due to limitations in imaging of soft tissues. CT is preferred if imaging is required.[24]American College of Radiology. ACR appropriateness criteria: sinonasal disease. 2021 [internet publication].
https://acsearch.acr.org/docs/69502/Narrative
Lateral neck x-rays can be helpful in children to evaluate the patient for adenoid hypertrophy in patients with nasal obstruction.[15]Dykewicz MS, Wallace DV, Amrol DJ, et al. Rhinitis 2020: a practice parameter update. J Allergy Clin Immunol. 2020 Oct;146(4):721-67.
https://www.aaaai.org/Aaaai/media/Media-Library-PDFs/Allergist%20Resources/Statements%20and%20Practice%20Parameters/Rhinitis-2020-A-practice-parameter-update.pdf
http://www.ncbi.nlm.nih.gov/pubmed/32707227?tool=bestpractice.com
An alternative is flexible nasal endoscopy, which can confirm adenoiditis.