Images and videos
Images

Abdominal aortic aneurysm
Extension stent graft deployed for the same type I endoleak (encircled)
University of Michigan, specifically the cases of Dr Upchurch reflecting the Departments of Vascular Surgery and Radiology
See this image in context in the following section/s:

Abdominal aortic aneurysm
Resolution of the type I endoleak resolved after extension deployed
University of Michigan, specifically the cases of Dr Upchurch reflecting the Departments of Vascular Surgery and Radiology
See this image in context in the following section/s:

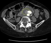
Abdominal aortic aneurysm
Type II endoleak (encircled) discovered on follow-up CT
University of Michigan, specifically the cases of Dr Upchurch reflecting the Departments of Vascular Surgery and Radiology
See this image in context in the following section/s:

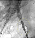
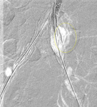
Abdominal aortic aneurysm
Type I endoleak at the distal left iliac anastomosis (leak encircled)
University of Michigan, specifically the cases of Dr Upchurch reflecting the Departments of Vascular Surgery and Radiology
See this image in context in the following section/s:

Abdominal aortic aneurysm
Abdominal aortic aneurysm: CT scan of a ruptured AAA
University of Michigan, specifically the cases of Dr Upchurch reflecting the Departments of Vascular Surgery and Radiology
See this image in context in the following section/s:

Abdominal aortic aneurysm
Endovascular aneurysm repair (EVAR)
University of Michigan, specifically the cases of Dr Upchurch reflecting the Departments of Vascular Surgery and Radiology
See this image in context in the following section/s:

Abdominal aortic aneurysm
Various endovascular stent grafts used for endovascular aneurysm repair (EVAR)
University of Michigan, specifically the cases of Dr Upchurch reflecting the Departments of Vascular Surgery and Radiology
See this image in context in the following section/s:

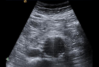
Abdominal aortic aneurysm
Ultrasound of a 3.8 cm x 4.2 cm AAA
University of Michigan, specifically the cases of Dr Upchurch reflecting the Departments of Vascular Surgery and Radiology
See this image in context in the following section/s:
Videos
- Tracheal intubation animated demonstration
How to insert a tracheal tube in an adult using a laryngoscope.
- Bag-valve-mask ventilation animated demonstration
How to use bag-valve-mask apparatus to deliver ventilatory support to adults. Video demonstrates the two-person technique.
Use of this content is subject to our disclaimer