Images and videos
Images

Turner syndrome
Comorbidities and complications in girls with Turner syndrome; diagnosis of congenital heart defects was made by echocardiogram and cardiac magnetic resonance angiography; renal and hepatic imaging was done by ultrasound; hypertension was determined by ambulatory BP monitoring using height-based standards; *includes partial anomalous pulmonary venous return, elongated transverse arch of the aorta, right aortic arch; ** >10% elevation of ALT and/or AST
McCarthy K, et al. Expert Rev Endocrinol Metab. 2008;3:771-775
See this image in context in the following section/s:

Turner syndrome
Pathognomonic features of Turner syndrome
From the personal collection of Carolyn Bondy, MS, MD (with data from Ullrich O. Z. Kinderheilk. 1930;49:271-76 and Turner HH. Endocrinology. 1938;23:566-74)
See this image in context in the following section/s:

Turner syndrome
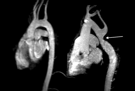
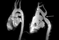
Cardiac MRI revealing normal aortic arch in ‘candy cane’ configuration on the left, compared with a previously undiagnosed aortic coarctation, just after the origin of the left subclavian artery (arrow), detected by MRI in an adult woman with Turner syndrome with severe upper body hypertension
From the personal collection of Carolyn Bondy, MS, MD (NIH study)
See this image in context in the following section/s:

Turner syndrome
Algorithm for screening and monitoring congenital cardiovascular disease in Turner syndrome in women and girls aged >15 years. (CHD, congenital heart disease; AV, aortic valve; BAV, bicuspid aortic valve; PAPV, partial anomalous pulmonary veins; Coarc, coarctation; ACH, adult congenital heart; CVS, cardiovascular system; HTN, hypertension)
Adapted from: Gravholt CH, Andersen NH, Conway GS, et al. Clinical practice guidelines for the care of girls and women with Turner syndrome: proceedings from the 2016 Cincinnati International Turner Syndrome Meeting. Eur J Endocrinol. 2017;177(3):G1-G70.
See this image in context in the following section/s:

Turner syndrome
Pseudo-autosomal regions of X and Y chromosomes
From the personal collection of Carolyn Bondy, MS, MD
See this image in context in the following section/s:

Turner syndrome
Ascertainment profile data of Turner syndrome; 300 females; Age DX, age (in years) at diagnosis
From the personal collection of Carolyn Bondy, MS, MD (National Institute of Child Health and Human Development natural history study 2001-2007; McCarthy K, et al. Expert Rev Endocrinol Metab. 2008;3:771-775)
See this image in context in the following section/s:

Turner syndrome
Algorithm for screening and monitoring congenital cardiovascular disease in Turner syndrome in girls aged <15 years
Adapted from: Gravholt CH, Andersen NH, Conway GS, et al. Clinical practice guidelines for the care of girls and women with Turner syndrome: proceedings from the 2016 Cincinnati International Turner Syndrome Meeting. Eur J Endocrinol. 2017;177(3):G1-G70.
See this image in context in the following section/s:

Turner syndrome
X chromosome abnormalities in Turner syndrome; see text for explanation
From the personal collection of Carolyn Bondy, MS, MD
See this image in context in the following section/s:

Turner syndrome
Ascertainment profile data of Turner syndrome; 300 females; Age DX, age (in years) at diagnosis
From the personal collection of Carolyn Bondy, MS, MD (National Institute of Child Health and Human Development natural history study 2001-2007); McCarthy K, et al. Expert Rev Endocrinol Metab. 2008;3:771-775
See this image in context in the following section/s:

Turner syndrome
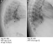
Importance of oestrogen therapy in young adults with Turner syndrome (TS): X-ray figure A shows near collapse of T11, diffuse osteoporosis, and dorsal kyphosis in a woman with TS who discontinued HRT at age 18 years. Figure B shows normal spinal architecture and bone health in another woman with TS, age 30 years, who has taken HRT consistently since age 12.8 years
From the personal collection of Carolyn Bondy, MS, MD (NIH study)
See this image in context in the following section/s:

Turner syndrome
Association of cardiovascular defects with neck webbing
Compiled data from Sachdev V, et al. J Am Coll Cardiol. 2008;51:1904-1909, and Loscalzo ML, et al. Pediatrics. 2005;115:732-735
See this image in context in the following section/s:

Turner syndrome
Classic stigmata of Turner syndrome
From Ullrich O. Eur J Pediatr. 1930;49:271-276; used with permission
See this image in context in the following section/s:

Turner syndrome
Incidence of adverse effects of growth hormone treatment
Data from the National Cooperative Growth Study (Bolar K, et al. J Clin Endocrinol Metab. 2008;93:344-351)
See this image in context in the following section/s:
Use of this content is subject to our disclaimer